• Tel: 858.663.9055
  • SeparatorEmail: info@nsjbio.com
  • Tel: 858.663.9055
  • Email: info@nsjbio.com
Home >> Antibodies >> SSX2IP Antibody / SSX2 interacting protein

SSX2IP Antibody / SSX2 interacting protein (FY12087)

  Catalog No Formulation Size Price (USD)  
Image FY12087 Adding 0.2 ml of distilled water will yield a concentration of 500 ug/ml 100 ug 439
Bulk quote request
IHC analysis of SSX2IP using anti-SSX2IP antibody. SSX2IP was detected in a paraffin-embedded section of human cervix squamous cell carcinoma tissue. Heat mediated antigen retrieval was performed in EDTA buffer (pH 8.0, epitope retrieval solution). The tissue section was blocked with 10% goat serum. The tissue section was then incubated with 2 ug/ml rabbit anti-SSX2IP antibody overnight at 4oC. Peroxidase Conjugated Goat Anti-rabbit IgG was used as secondary antibody and incubated for 30 minutes at 37oC. The tissue section was developed using an HRP secondary and DAB substrate.
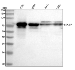
Western blot analysis of SSX2IP using anti-SSX2IP antibody. Lane 1: human K562 whole cell lysates, Lane 2: human U251 whole cell lysates, Lane 3: human whole cell lysates, Lane 4: human U20S whole cell lysates. After electrophoresis, proteins were transferred to a nitrocellulose membrane at 150 mA for 50-90 minutes. Blocked the membrane with 5% non-fat milk/TBS for 1.5 hour at RT. The membrane was incubated with rabbit anti-SSX2IP antibody at 0.5 ug/ml overnight at 4oC, then washed with TBS-0.1%Tween 3 times with 5 minutes each and probed with a goat anti-rabbit IgG-HRP secondary antibody at a dilution of 1:5000 for 1.5 hour at RT. The signal was developed using enhanced chemiluminescent. The expected band size for SSX2IP is at 71 kDa. The protein is observed as multiple species with apparent molecular weights of 70–90 kDa, corresponding to differentially phosphorylated isoforms.
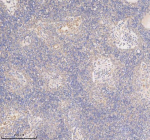
IHC analysis of SSX2IP using anti-SSX2IP antibody. SSX2IP was detected in a paraffin-embedded section of human spleen tissue. Heat mediated antigen retrieval was performed in EDTA buffer (pH 8.0, epitope retrieval solution). The tissue section was blocked with 10% goat serum. The tissue section was then incubated with 2 ug/ml rabbit anti-SSX2IP antibody overnight at 4oC. Peroxidase Conjugated Goat Anti-rabbit IgG was used as secondary antibody and incubated for 30 minutes at 37oC. The tissue section was developed using an HRP secondary and DAB substrate.
IHC analysis of SSX2IP using anti-SSX2IP antibody. SSX2IP was detected in a paraffin-embedded section of rat brain tissue. Heat mediated antigen retrieval was performed in EDTA buffer (pH 8.0, epitope retrieval solution). The tissue section was blocked with 10% goat serum. The tissue section was then incubated with 2 ug/ml rabbit anti-SSX2IP antibody overnight at 4oC. Peroxidase Conjugated Goat Anti-rabbit IgG was used as secondary antibody and incubated for 30 minutes at 37oC. The tissue section was developed using an HRP secondary and DAB substrate.
Flow Cytometry analysis of U251 cells using anti-SSX2IP antibody. Overlay histogram showing U251 cells stained with (Blue line). To facilitate intracellular staining, cells were fixed with 4% paraformaldehyde and permeabilized with permeabilization buffer. The cells were blocked with 10% normal goat serum. And then incubated with rabbit anti-SSX2IP antibody (1 ug/million cells) for 30 min at 20oC. DyLight 488 conjugated goat anti-rabbit IgG (5-10 ug/million cells) was used as secondary antibody for 30 minutes at 20oC. Isotype control antibody (Green line) was rabbit IgG (1 ug/million cells) used under the same conditions. Unlabelled sample (Red line) was also used as a control.
Availability 1-2 days
Species Reactivity Human, Rat
Format Lyophilized
Clonality Polyclonal (rabbit origin)
Isotype Rabbit IgG
Purity Immunogen affinity purified
Buffer Each vial contains 4 mg Trehalose, 0.9 mg NaCl, 0.2 mg Na2HPO4.
UniProt Q9Y2D8
Applications ELISA : 0.1-0.5ug/ml
Immunohistochemistry : 2-5ug/ml
Western Blot : 0.25-0.5ug/ml
Flow Cytometry : 1-3ug/million cells
Limitations This SSX2IP antibody is available for research use only.
Review this product on BioCompare and get a $20 Amazon gift card

Related Products

Description

SSX2IP antibody detects SSX2 interacting protein, encoded by the SSX2IP gene. SSX2 interacting protein is a centrosomal and basal body protein that regulates spindle assembly, ciliogenesis, and cell division. SSX2IP antibody provides researchers with a specific reagent for studying centrosome biology, ciliary function, and cancer progression.

SSX2 interacting protein was originally identified as an interaction partner of the cancer testis antigen SSX2. Research using SSX2IP antibody has shown that it localizes to centrosomes and spindle poles during mitosis, where it stabilizes microtubule anchoring. It is also recruited to basal bodies, where it contributes to ciliogenesis and cilia maintenance. These dual localizations highlight its importance in both cell division and ciliary function.

Studies with SSX2IP antibody have demonstrated that depletion of SSX2IP causes spindle defects, impaired chromosome segregation, and abnormal ciliogenesis. In developmental contexts, SSX2IP is required for normal ciliary signaling and embryogenesis. Its role in centrosome anchoring underscores its fundamental role in cell biology.

Dysregulation of SSX2 interacting protein has been associated with cancer and ciliopathies. Research using SSX2IP antibody has shown that overexpression occurs in acute myeloid leukemia and gastrointestinal cancers, where it promotes proliferation and survival. Deficiency in SSX2IP has been linked to ciliary defects and developmental abnormalities, emphasizing its importance in health and disease.

SSX2IP antibody is widely used in immunofluorescence, immunohistochemistry, and western blotting. Immunofluorescence highlights centrosomal and basal body localization, immunohistochemistry demonstrates tumor expression, and western blotting quantifies levels across development and disease models. These applications make SSX2IP antibody indispensable in centrosome and cancer research.

By providing validated SSX2IP antibody reagents, NSJ Bioreagents supports studies into spindle regulation, ciliary biology, and oncogenesis. Detection of SSX2 interacting protein provides researchers with insight into how centrosomal proteins contribute to division and disease.

Application Notes

Optimal dilution of the SSX2IP antibody should be determined by the researcher.

Immunogen

E.coli-derived human SSX2IP recombinant protein (Position: K27-P614) was used as the immunogen for the SSX2IP antibody.

Storage

After reconstitution, the SSX2IP antibody can be stored for up to one month at 4oC. For long-term, aliquot and store at -20oC. Avoid repeated freezing and thawing.

Cross
Bulk Quote Request Form
Name*:
Organization*:
Email*:
Phone Number*:
Catalog No.*:
Comments and Specifics(amount, formulation, etc.)*:
Validation code: Captchapackage Image


Can't read the image? click here to refresh.
    *required field

Your bulk quote request has been submitted successfully!

Please contact us if you have any questions.