• Tel: 858.663.9055
  • SeparatorEmail: info@nsjbio.com
  • Tel: 858.663.9055
  • Email: info@nsjbio.com
Home >> Antibodies >> SSH3BP1 Antibody / ABI1

SSH3BP1 Antibody / ABI1 (R30167)

  Catalog No Formulation Size Price (USD)  
Image R30167 0.5mg/ml if reconstituted with 0.2ml sterile DI water 100 ug 439
Bulk quote request
Immunofluorescent staining of FFPE human intestinal cancer tissue with SSH3BP1 antibody (red) and DAPI nuclear stain (blue). HIER: steam section in pH8 EDTA buffer for 20 min.
Immunofluorescent staining of FFPE human breast cancer tissue with SSH3BP1 antibody (red) and DAPI nuclear stain (blue). HIER: steam section in pH8 EDTA buffer for 20 min.
Immunofluorescent staining of FFPE human U-2 OS cells with SSH3BP1 antibody (red) and DAPI nuclear stain (blue). HIER: steam section in pH6 citrate buffer for 20 min.
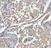
IHC staining of FFPE human colorectal adenocarcinoma tissue with SSH3BP1 antibody. HIER: boil tissue sections in pH8 EDTA for 20 min and allow to cool before testing.
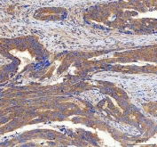
IHC staining of FFPE human lung cancer tissue with SSH3BP1 antibody. HIER: boil tissue sections in pH8 EDTA for 20 min and allow to cool before testing.
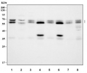
Western blot testing of 1) human 293T, 2) human MCF7, 3) human U-87 MG, 4) rat brain, 5) rat C-6, 6) mouse brain, 7) mouse Neuro-2a and 8) mouse C2C12 cell lysate with SSH3BP1 antibody. Predicted molecular weight ~55 kDa, commonly observed at 55-65 kDa.
Flow cytometry testing of fixed and permeabilized human MCF7 cells with SSH3BP1 antibody at 1ug/million cells (blocked with goat sera); Red=cells alone, Green=isotype control, Blue= SSH3BP1 antibody.
Availability 1-3 business days
Species Reactivity Human, Mouse, Rat
Format Antigen affinity purified
Clonality Polyclonal (rabbit origin)
Isotype Rabbit IgG
Purity Antigen affinity
Buffer Lyophilized from 1X PBS with 2.5% BSA and 0.025% sodium azide/thimerosal
UniProt Q8IZP0
Applications Western Blot : 0.5-1ug/ml
Immunohistochemistry (FFPE) : 2-5ug/ml
Immunofluorescence : 5ug/ml
Flow Cytometry : 1-3ug/million cells
Limitations This SSH3BP1 antibody is available for research use only.
Review this product on BioCompare and get a $20 Amazon gift card

Related Products

  • Applications : WB, IHC-P, FACS, IF
    Reactivity : Human, Mouse, Rat
  • Applications : WB, IHC, FACS, IF, ELISA
    Reactivity : Human
    Pred. Reactivity : Mouse, Rat

Description

ABI1 is a human homolog of mouse Abl-interactor-1 (Abi1), mapped on 10p11.2. ABI1 participates in the transduction of signals from Ras to Rac by regulating Rac-specific guanine nucleotide exchange factor(GEF) activities. ABI1 dramatically promoted ABL1-mediated tyrosine phosphorylation of MENA, but not of other substrates. Abi-1 regulates c-Abl-mediated phosphorylation of Mena by interacting with both proteins. ABI1 plays a role in the leukemogenesis by translocating to MLL.

Application Notes

The stated application concentrations are suggested starting amounts. Titration of the SSH3BP1 antibody may be required due to differences in protocols and secondary/substrate sensitivity.

Immunogen

An amino acid sequence from the C-terminus of human SSH3BP1 (WYEGVCNRVTGL) was used as the immunogen for this SSH3BP1 antibody.

Storage

After reconstitution, the SSH3BP1 antibody can be stored for up to one month at 4oC. For long-term, aliquot and store at -20oC. Avoid repeated freezing and thawing.

Cross
Bulk Quote Request Form
Name*:
Organization*:
Email*:
Phone Number*:
Catalog No.*:
Comments and Specifics(amount, formulation, etc.)*:
Validation code: Captchapackage Image


Can't read the image? click here to refresh.
    *required field

Your bulk quote request has been submitted successfully!

Please contact us if you have any questions.