• Tel: 858.663.9055
  • SeparatorEmail: info@nsjbio.com
  • Tel: 858.663.9055
  • Email: info@nsjbio.com
Home >> Antibodies >> SSH3 Antibody / Slingshot homolog 3

SSH3 Antibody / Slingshot homolog 3 (FY13079)

  Catalog No Formulation Size Price (USD)  
Image FY13079 Adding 0.2 ml of distilled water will yield a concentration of 500 ug/ml 100 ug 439
Bulk quote request
Immunofluorescent staining of SSH3 using anti-SSH3 antibody (red) and anti-Beta Tubulin antibody (green). SSH3 was detected in immunocytochemical section of human HELA cell. Enzyme antigen retrieval was performed using IHC enzyme antigen retrieval reagent for 15 mins. The cells were blocked with 10% goat serum. And then incubated with 5 ug/ml rabbit anti-SSH3 antibody and mouse anti-Beta Tubulin antibody overnight at 4oC. Cy3 Conjugated Goat Anti-Rabbit IgG and FITC Conjugated Goat Anti-Mouse IgG were used as secondary antibody at 1:500 dilution and incubated for 30 minutes at 37oC. Visualize using a fluorescence microscope and filter sets appropriate for the label used.
Western blot analysis of SSH3 using anti-SSH3 antibody. Lane 1: human Hela whole cell lysates, Lane 2: human 293Twhole cell lysates, Lane 3: human RT4 whole cell lysates, Lane 4: human MCF-7 whole cell lysates, Lane 5: rat stomach tissue lysates. After electrophoresis, proteins were transferred to a nitrocellulose membrane at 150 mA for 50-90 minutes. Blocked the membrane with 5% non-fat milk/TBS for 1.5 hour at RT. The membrane was incubated with rabbit anti-SSH3 antibody at 0.25 ug/ml overnight at 4oC, then washed with TBS-0.1%Tween 3 times with 5 minutes each and probed with a goat anti-rabbit IgG-HRP secondary antibody at a dilution of 1:5000 for 1.5 hour at RT. The signal was developed using enhanced chemiluminescent. Although SSH3 has a predicted molecular weight of ~73 kDa, it consistently migrates at ~90-100 kDa on SDS-PAGE, as reported in the literature. The higher apparent size reflects extensive phosphorylation and the acidic, SDS-resistant composition of SSH3. In rat stomach lysate, a slightly faster-migrating ~80 kDa band is observed, likely corresponding to a less modified or truncated form of the protein.
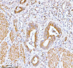
Immunohistochemical staining of SSH3 using anti-SSH3 antibody. SSH3 was detected in a paraffin-embedded section of human rectum adenocarcinoma tissue. Heat mediated antigen retrieval was performed in EDTA buffer (pH 8.0, epitope retrieval solution). The tissue section was blocked with 10% goat serum. The tissue section was then incubated with 2 ug/ml rabbit anti-SSH3 antibody overnight at 4oC. Peroxidase Conjugated Goat Anti-rabbit IgG was used as secondary antibody and incubated for 30 minutes at 37oC. The tissue section was developed using an HRP secondary and DAB substrate.
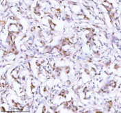
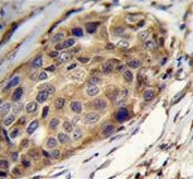
Immunohistochemical staining of SSH3 using anti-SSH3 antibody. SSH3 was detected in a paraffin-embedded section of human testicular seminoma tissue. Heat mediated antigen retrieval was performed in EDTA buffer (pH 8.0, epitope retrieval solution). The tissue section was blocked with 10% goat serum. The tissue section was then incubated with 2 ug/ml rabbit anti-SSH3 antibody overnight at 4oC. Peroxidase Conjugated Goat Anti-rabbit IgG was used as secondary antibody and incubated for 30 minutes at 37oC. The tissue section was developed using an HRP secondary and DAB substrate.
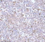
Immunohistochemical staining of SSH3 using anti-SSH3 antibody. SSH3 was detected in a paraffin-embedded section of human breast cancer tissue. Heat mediated antigen retrieval was performed in EDTA buffer (pH 8.0, epitope retrieval solution). The tissue section was blocked with 10% goat serum. The tissue section was then incubated with 2 ug/ml rabbit anti-SSH3 antibody overnight at 4oC. Peroxidase Conjugated Goat Anti-rabbit IgG was used as secondary antibody and incubated for 30 minutes at 37oC. The tissue section was developed using an HRP secondary and DAB substrate.
Flow Cytometry analysis of RT4 cells using anti-SSH3 antibody. Overlay histogram showing RT4 cells stained with (Blue line). To facilitate intracellular staining, cells were fixed with 4% paraformaldehyde and permeabilized with permeabilization buffer. The cells were blocked with 10% normal goat serum. And then incubated with rabbit anti-SSH3 antibody (1 ug/million cells) for 30 min at 20oC. DyLight 488 conjugated goat anti-rabbit IgG (5-10 ug/million cells) was used as secondary antibody for 30 minutes at 20oC. Isotype control antibody (Green line) was rabbit IgG (1 ug/million cells) used under the same conditions. Unlabelled sample (Red line) was also used as a control.
Availability 1-2 days
Species Reactivity Human, Rat
Format Lyophilized
Clonality Polyclonal (rabbit origin)
Isotype Rabbit IgG
Purity Immunogen affinity purified
Buffer Each vial contains 4 mg Trehalose, 0.9 mg NaCl, 0.2 mg Na2HPO4.
UniProt Q8TE77
Localization Nuclear speckles, cytoplasm, plasma membrane
Applications Western Blot : 0.25-0.5ug/ml
Immunohistochemistry : 2-5ug/ml
Immunocytochemistry : 5ug/ml
Immunofluorescence : 5ug/ml
Flow Cytometry : 1-3ug/million cells
ELISA : 0.1-0.5ug/ml
Limitations This SSH3 antibody is available for research use only.
Review this product on BioCompare and get a $20 Amazon gift card

Related Products

  • Applications : WB
    Reactivity : Human
  • Applications : WB
    Reactivity : Human
  • Applications : IF, FACS, IHC-P, WB
    Reactivity : Human

Description

SSH3 antibody detects Slingshot homolog 3, a member of the slingshot family of serine/threonine phosphatases that regulate actin filament dynamics through dephosphorylation of cofilin. The UniProt recommended name is Slingshot homolog 3 (SSH3). This phosphatase modulates cytoskeletal reorganization, cell migration, and synaptic remodeling by maintaining the balance between phosphorylated and active cofilin.

Functionally, SSH3 antibody identifies a 575-amino-acid cytoplasmic enzyme that acts downstream of Rho family GTPases. SSH3 dephosphorylates cofilin at serine 3, restoring its actin-severing activity and promoting filament turnover. The protein also interacts with scaffolding components such as 14-3-3 proteins and LIM kinases, coordinating actin remodeling in response to extracellular cues.

The SSH3 gene is located on chromosome 3p21.31 and is widely expressed in brain, muscle, and epithelial tissues. SSH3 contributes to cell shape changes, migration, and polarity through dynamic actin regulation. In neurons, it participates in synaptic plasticity and axon guidance by fine-tuning cytoskeletal rearrangements during development and signaling.

Pathologically, aberrant SSH3 activity disrupts cytoskeletal organization and has been associated with cancer metastasis and neurological disorders. Overactivation enhances cell motility and invasion, whereas loss of function impairs normal morphogenesis. Research with SSH3 antibody supports studies on actin regulation, neuronal development, and signal transduction.

SSH3 antibody is suitable for western blotting, immunofluorescence, and immunohistochemistry, enabling precise detection of SSH3 in various cell types. NSJ Bioreagents provides SSH3 antibody reagents validated for actin cytoskeleton and phosphatase signaling research.

Structurally, SSH3 contains an N-terminal catalytic domain related to the dual-specificity phosphatase family and C-terminal regions mediating protein-protein interactions. Its localization and activity are regulated by phosphorylation and 14-3-3 binding. This antibody facilitates analysis of SSH3's role in actin filament turnover and cell motility control.

Application Notes

Optimal dilution of the SSH3 antibody should be determined by the researcher.

Immunogen

E.coli-derived human SSH3 recombinant protein (Position: Q108-Q620) was used as the immunogen for the SSH3 antibody.

Storage

After reconstitution, the SSH3 antibody can be stored for up to one month at 4oC. For long-term, aliquot and store at -20oC. Avoid repeated freezing and thawing.

Cross
Bulk Quote Request Form
Name*:
Organization*:
Email*:
Phone Number*:
Catalog No.*:
Comments and Specifics(amount, formulation, etc.)*:
Validation code: Captchapackage Image


Can't read the image? click here to refresh.
    *required field

Your bulk quote request has been submitted successfully!

Please contact us if you have any questions.