• Tel: 858.663.9055
  • SeparatorEmail: info@nsjbio.com
  • Tel: 858.663.9055
  • Email: info@nsjbio.com
Home >> Antibodies >> SREBP1 Antibody / Sterol regulatory element-binding protein 1

SREBP1 Antibody / Sterol regulatory element-binding protein 1 [clone SREBP1/1578] (V8099)

  Catalog No Formulation Size Price (USD)  
Image V8099-100UG 0.2 mg/ml in 1X PBS with 0.1 mg/ml BSA (US sourced) and 0.05% sodium azide 100 ug 539
Image
V8099-20UG 0.2 mg/ml in 1X PBS with 0.1 mg/ml BSA (US sourced) and 0.05% sodium azide 20 ug 249
Image
V8099SAF-100UG 1 mg/ml in 1X PBS; BSA free, sodium azide free 100 ug 539
Bulk quote request
SDS-PAGE analysis of purified, BSA-free SREBP1 antibody (clone SREBP1/1578) as confirmation of integrity and purity.
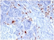
IHC staining of FFPE human ovarian carcinoma with SREBP1 antibody (clone SREBP1/1578). HIER: boil tissue sections in pH 9 10mM Tris with 1mM EDTA for 20 min and allow to cool before testing. Negative control inset: PBS used instead of primary antibody to control for secondary Ab binding.
Availability 1-3 business days
Species Reactivity Human
Format Purified
Clonality Monoclonal (mouse origin)
Isotype Mouse IgG2b, kappa
Clone Name SREBP1/1578
Purity Protein G affinity chromatography
UniProt P36956
Applications Immunohistochemistry (FFPE) : 1-2ug/ml
Limitations This SREBP1 antibody is available for research use only.
Review this product on BioCompare and get a $20 Amazon gift card

Description

The low density lipoprotein (LDL) receptor mediates the endocytic uptake of cholesterol-carrying lipoproteins, thereby controlling cholesterol levels in cells and plasma. Transcription of the LDL receptor gene is controlled by a ten base pair sequence in the 5' flanking region, designated sterol regulatory element 1 (SRE-1). When cellular sterol stores are depleted, the element is activated, the gene is transcribed and the cellular uptake of LDL increases. A set of SREbinding proteins (SREBPs) have been identified, including two basic helixloop-helix-leucine zipper (bHLH-zip) transcription factors, designated SREBP-1 and SREBP-2. SREBP-1 and SREBP-2 have been shown to have the same specificity for SRE-1 in vitro and to activate the transcription of reporter genes containing SRE-1 in the same way.

Application Notes

Optimal dilution of the SREBP1 antibody should be determined by the researcher.

Immunogen

A recombinant full-length human protein was used as the immunogen for this SREBP1 antibody.

Storage

Store the SREBP1 antibody at 2-8oC (with azide) or aliquot and store at -20oC or colder (without azide).

Cross
Bulk Quote Request Form
Name*:
Organization*:
Email*:
Phone Number*:
Catalog No.*:
Comments and Specifics(amount, formulation, etc.)*:
Validation code: Captchapackage Image


Can't read the image? click here to refresh.
    *required field

Your bulk quote request has been submitted successfully!

Please contact us if you have any questions.