• Tel: 858.663.9055
  • SeparatorEmail: info@nsjbio.com
  • Tel: 858.663.9055
  • Email: info@nsjbio.com
Home >> Antibodies >> SRCIN1 Antibody

SRCIN1 Antibody (RQ4950)

  Catalog No Formulation Size Price (USD)  
Image RQ4950 0.5mg/ml if reconstituted with 0.2ml sterile DI water 100 ug 439
Bulk quote request
Western blot testing of 1) human T-47D, 2) human MDA-MB-453, 3) rat brain and 4) mouse brain lysate with SRCIN1 antibody at 0.5ug/ml. Expected molecular weight: 130-140 kDa.
IHC staining of FFPE human esophageal squamous cancer with SRCIN1 antibody at 1ug/ml. HIER: boil tissue sections in pH6, 10mM citrate buffer, for 10-20 min and allow to cool before testing.
IHC staining of FFPE human tonsil with SRCIN1 antibody at 1ug/ml. HIER: boil tissue sections in pH6, 10mM citrate buffer, for 10-20 min and allow to cool before testing.
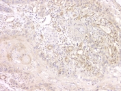
IHC staining of FFPE human ovarian cancer with SRCIN1 antibody at 1ug/ml. HIER: boil tissue sections in pH6, 10mM citrate buffer, for 10-20 min and allow to cool before testing.
IHC staining of FFPE human ovarian cancer with SRCIN1 antibody at 1ug/ml. HIER: boil tissue sections in pH6, 10mM citrate buffer, for 10-20 min and allow to cool before testing.
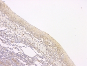
IHC staining of FFPE human appendicitis tissue with SRCIN1 antibody at 1ug/ml. HIER: boil tissue sections in pH6, 10mM citrate buffer, for 10-20 min and allow to cool before testing.
IHC staining of FFPE mouse brain with SRCIN1 antibody at 1ug/ml. HIER: boil tissue sections in pH6, 10mM citrate buffer, for 10-20 min and allow to cool before testing.
IHC staining of FFPE rat brain with SRCIN1 antibody at 1ug/ml. HIER: boil tissue sections in pH6, 10mM citrate buffer, for 10-20 min and allow to cool before testing.
Flow cytometry testing of human A549 cells with SRCIN1 antibody at 1ug/10^6 cells (blocked with goat sera); Red=cells alone, Green=isotype control, Blue= SRCIN1 antibody.
Flow cytometry testing of human U-2 OS cells with SRCIN1 antibody at 1ug/10^6 cells (blocked with goat sera); Red=cells alone, Green=isotype control, Blue= SRCIN1 antibody.
Availability 1-3 business days
Species Reactivity Human, Mouse, Rat
Format Antigen affinity purified
Clonality Polyclonal (rabbit origin)
Isotype Rabbit IgG
Purity Antigen affinity purified
Buffer Lyophilized from 1X PBS with 2% Trehalose and 0.025% sodium azide
UniProt Q9C0H9
Localization Cytoplasm, plasma membrane
Applications Flow Cytometry : 1-3ug/10^6 cells
Western Blot : 0.5-1ug/ml
Immunohistochemistry (FFPE) : 1-2ug/ml
Direct ELISA : 0.1-0.5ug/ml
Limitations This SRCIN1 antibody is available for research use only.
Review this product on BioCompare and get a $20 Amazon gift card

Description

Using yeast 2-hybrid analysis, protein pull-down assays, and mutation analysis, it is showed that the first coiled-coil domain of rat Snip interacted with the N-terminal t-SNARE domain of Snap25 (600322). Biochemical studies demonstrated that Snip was tightly associated with rat brain cytoskeleton. Indirect immunofluorescence and confocal microscopy of rat PC12 pheochromocytoma cells revealed colocalization of Snip with Snap25 in the actin cytoskeleton, particularly in filopodia, lamellipodia, and neuritic extensions, including the tips. Overexpression of Snip or its Snap25-interacting domain inhibited calcium-dependent exocytosis from PC12 cells. It is concluded that SNIP is involved in regulation of neurosecretion, perhaps via its interaction with SNAP25 and the cytoskeleton.

Application Notes

Optimal dilution of the SRCIN1 antibody should be determined by the researcher.

Immunogen

Amino acids E189-E287 from the human protein were used as the immunogen for the SRCIN1 antibody.

Storage

After reconstitution, the SRCIN1 antibody can be stored for up to one month at 4oC. For long-term, aliquot and store at -20oC. Avoid repeated freezing and thawing.

Cross
Bulk Quote Request Form
Name*:
Organization*:
Email*:
Phone Number*:
Catalog No.*:
Comments and Specifics(amount, formulation, etc.)*:
Validation code: Captchapackage Image


Can't read the image? click here to refresh.
    *required field

Your bulk quote request has been submitted successfully!

Please contact us if you have any questions.