• Tel: 858.663.9055
  • SeparatorEmail: info@nsjbio.com
  • Tel: 858.663.9055
  • Email: info@nsjbio.com
Home >> Antibodies >> SRCAP Antibody

SRCAP Antibody (R35238)

  Catalog No Formulation Size Price (USD)  
Image R35238-100UG 0.5 mg/ml in 1X TBS, pH7.3, with 0.5% BSA (US sourced) and 0.02% sodium azide 100 ug 449
Bulk quote request
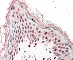
IHC testing of FFPE human skin with SRCAP antibody at 5ug/ml. HIER: steamed with pH6 citrate buffer, AP-staining.
Availability 1-3 business days
Species Reactivity Human
Predicted Reactivity Dog, Mouse, Pig, Rat
Format Antigen affinity purified
Clonality Polyclonal (goat origin)
Isotype Goat Ig
Purity Antigen affinity
Gene ID 10847
Applications Immunohistochemistry (FFPE) : 5-10ug/ml
ELISA (peptide) LOD : 1:128000
Limitations This SRCAP antibody is available for research use only.
Review this product on BioCompare and get a $20 Amazon gift card

Description

Additional name(s) for this target protein: Snf2-related CREBBP activator protein

Application Notes

Optimal dilution of the SRCAP antibody should be determined by the researcher.

Immunogen

Amino acids QEGNDAEAQRREIE were used as the immunogen for this SRCAP antibody.

Storage

Aliquot and store the SRCAP antibody at -20oC.

Cross
Bulk Quote Request Form
Name*:
Organization*:
Email*:
Phone Number*:
Catalog No.*:
Comments and Specifics(amount, formulation, etc.)*:
Validation code: Captchapackage Image


Can't read the image? click here to refresh.
    *required field

Your bulk quote request has been submitted successfully!

Please contact us if you have any questions.