• Tel: 858.663.9055
  • SeparatorEmail: info@nsjbio.com
  • Tel: 858.663.9055
  • Email: info@nsjbio.com
Home >> Antibodies >> SR-BII Antibody / SCARB2 / LIMPII

SR-BII Antibody / SCARB2 / LIMPII (RQ7448)

  Catalog No Formulation Size Price (USD)  
Image RQ7448 0.5mg/ml if reconstituted with 0.2ml sterile DI water 100 ug 439
Bulk quote request
Immunofluorescent staining of FFPE human lung squamous cell carcinoma tissue with SR-BII antibody (red) and DAPI nuclear stain (blue). HIER: steam section in pH8 EDTA buffer for 20 min.
IHC staining of FFPE human lung cancer tissue with SR-BII antibody. HIER: boil tissue sections in pH8 EDTA for 20 min and allow to cool before testing.
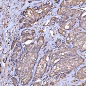
IHC staining of FFPE human breast cancer tissue with SR-BII antibody. HIER: boil tissue sections in pH8 EDTA for 20 min and allow to cool before testing.
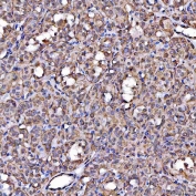
IHC staining of FFPE human thyroid cancer tissue with SR-BII antibody. HIER: boil tissue sections in pH8 EDTA for 20 min and allow to cool before testing.
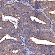
IHC staining of FFPE human endometrial cancer tissue with SR-BII antibody. HIER: boil tissue sections in pH8 EDTA for 20 min and allow to cool before testing.
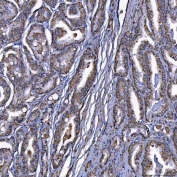
IHC staining of FFPE human prostate cancer tissue with SR-BII antibody. HIER: boil tissue sections in pH8 EDTA for 20 min and allow to cool before testing.
Western blot testing of human 1) 293T and 2) SH-SY5Y cell lysate with SR-BII antibody. Expected molecular weight: 54-85 kDa depending on level of glycosylation.
Flow cytometry testing of human U-87 MG cells with SR-BII antibody at 1ug/million cells (blocked with goat sera); Red=cells alone, Green=isotype control, Blue= SR-BII antibody.
Availability 1-3 business days
Species Reactivity Human
Format Antigen affinity purified
Clonality Polyclonal (rabbit origin)
Isotype Rabbit IgG
Purity Antigen affinity purified
Buffer Lyophilized from 1X PBS with 2% Trehalose
UniProt Q14108
Localization Cytoplasmic
Applications Western Blot : 0.5-1ug/ml
Immunohistochemistry (FFPE) : 2-5ug/ml
Flow Cytometry : 1-3ug/million cells
Immunofluorescence : 5ug/ml
Direct ELISA : 0.1-0.5ug/ml
Limitations This SR-BII antibody is available for research use only.
Review this product on BioCompare and get a $20 Amazon gift card

Related Products

Description

Lysosomal integral membrane protein 2 (LIMP-2), also called Scavenger receptor class B member 2, is a protein that in humans is encoded by the SCARB2 gene. The protein encoded by this gene is a type III glycoprotein that is located primarily in limiting membranes of lysosomes and endosomes. Earlier studies in mice and rat suggested that this protein may participate in membrane transportation and the reorganization of endosomal/lysosomal compartment. The protein deficiency in mice was reported to impair cell membrane transport processes and cause pelvic junction obstruction, deafness, and peripheral neuropathy. Further studies in human showed that this protein is a ubiquitously expressed protein and that it is involved in the pathogenesis of HFMD (hand, foot, and mouth disease) caused by enterovirus-71 and possibly by coxsackievirus A16. Mutations in this gene caused an autosomal recessive progressive myoclonic epilepsy-4 (EPM4), also known as action myoclonus-renal failure syndrome (AMRF). Alternatively spliced transcript variants encoding different isoforms have been found for this gene.

Application Notes

Optimal dilution of the SR-BII antibody should be determined by the researcher.

Immunogen

E. coli-derived recombinant human protein (amino acids E48-H357) was used as the immunogen for the SR-BII antibody.

Storage

After reconstitution, the SR-BII antibody can be stored for up to one month at 4oC. For long-term, aliquot and store at -20oC. Avoid repeated freezing and thawing.

Cross
Bulk Quote Request Form
Name*:
Organization*:
Email*:
Phone Number*:
Catalog No.*:
Comments and Specifics(amount, formulation, etc.)*:
Validation code: Captchapackage Image


Can't read the image? click here to refresh.
    *required field

Your bulk quote request has been submitted successfully!

Please contact us if you have any questions.