• Tel: 858.663.9055
  • SeparatorEmail: info@nsjbio.com
  • Tel: 858.663.9055
  • Email: info@nsjbio.com
Home >> Antibodies >> SPTLC1 Antibody Serine palmitoyltransferase 1

SPTLC1 Antibody Serine palmitoyltransferase 1 (R31808)

  Catalog No Formulation Size Price (USD)  
Image R31808 0.5mg/ml if reconstituted with 0.2ml sterile DI water 100 ug 439
Bulk quote request
Immunofluorescent staining of FFPE human U-2 OS cells with SPTLC1 antibody (green) and DAPI nuclear stain (blue). HIER: steam section in pH6 citrate buffer for 20 min.
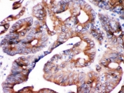
IHC testing of FFPE human intestinal cancer tissue with SPTLC1 antibody. HIER: Boil the paraffin sections in pH 6, 10mM citrate buffer for 20 minutes and allow to cool prior to staining.
Western blot testing of human 1) placenta, 2) U-87 MG, 3) A431, 4) PC-3, 5) U-2 OS, 6) HepG2 and 7) U-937 cell lysate with SPTLC1 antibody. Expected molecular weight ~53 kDa.
Flow cytometry testing of human U-2 OS cells with SPTLC1 antibody at 1ug/million cells (blocked with goat sera); Red=cells alone, Green=isotype control, Blue= SPTLC1 antibody.
Availability 1-3 business days
Species Reactivity Human
Format Antigen affinity purified
Clonality Polyclonal (rabbit origin)
Isotype Rabbit IgG
Purity Antigen affinity
Buffer Lyophilized from 1X PBS with 2.5% BSA and 0.025% sodium azide
UniProt O15269
Localization Cytoplasmic
Applications Western Blot : 0.1-0.5ug/ml
Immunohistochemistry (FFPE) : 0.5-1ug/ml
Immunofluorescence : 2ug/ml
Flow Cytometry : 1-3ug/million cells
Limitations This SPTLC1 antibody is available for research use only.
Review this product on BioCompare and get a $20 Amazon gift card

Related Products

Description

SPTLC1 (Serine palmitoyltransferase, long chain base subunit 1), also known as SPT1, LCB1, is a protein which in humans is encoded by the SPTLC1 gene. Dawkins et al. (2001) noted that the SPTLC1 gene maps to chromosome 9q22.1-q22.3. Serine palmitoyltransferase, which consists of two different subunits, is the initial enzyme in sphingolipid biosynthesis. It converts L-serine and palmitoyl CoA to 3-oxosphinganine with pyridoxal 5'-phosphate as a cofactor. The product of this gene is the long chain base subunit 1 of serine palmitoyltransferase. Mutations in this gene were identified in patients with hereditary sensory neuropathy type 1. Alternatively spliced variants encoding different isoforms have been identified.

Application Notes

Optimal dilution of the SPTLC1 antibody should be determined by the researcher.

Immunogen

Amino acids IRVVVTVEQTEEELERAASTIKEVAQAVLL of human SPTLC1 were used as the immunogen for the SPTLC1 antibody.

Storage

After reconstitution, the SPTLC1 antibody can be stored for up to one month at 4oC. For long-term, aliquot and store at -20oC. Avoid repeated freezing and thawing.

Cross
Bulk Quote Request Form
Name*:
Organization*:
Email*:
Phone Number*:
Catalog No.*:
Comments and Specifics(amount, formulation, etc.)*:
Validation code: Captchapackage Image


Can't read the image? click here to refresh.
    *required field

Your bulk quote request has been submitted successfully!

Please contact us if you have any questions.