• Tel: 858.663.9055
  • SeparatorEmail: info@nsjbio.com
  • Tel: 858.663.9055
  • Email: info@nsjbio.com
Home >> Antibodies >> SPTAN1 Antibody / Alpha II Spectrin / Alpha Fodrin / NEAS

SPTAN1 Antibody / Alpha II Spectrin / Alpha Fodrin / NEAS [clone SPTAN1/3351] (V8095)

  Catalog No Formulation Size Price (USD)  
Image V8095-100UG 0.2 mg/ml in 1X PBS with 0.1 mg/ml BSA (US sourced) and 0.05% sodium azide 100 ug 539
Image
V8095-20UG 0.2 mg/ml in 1X PBS with 0.1 mg/ml BSA (US sourced) and 0.05% sodium azide 20 ug 249
Image
V8095SAF-100UG 1 mg/ml in 1X PBS; BSA free, sodium azide free 100 ug 539
Microvalidated
Bulk quote request
IHC staining of FFPE human tonsil with SPTAN1 antibody. HIER: boil tissue sections in pH 9 10mM Tris with 1mM EDTA for 20 min and allow to cool before testing.
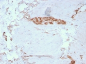
IHC staining of FFPE human colon with SPTAN1 antibody. HIER: boil tissue sections in pH 9 10mM Tris with 1mM EDTA for 20 min and allow to cool before testing.
Analysis of HuProt(TM) microarray containing more than 19,000 full-length human proteins using SPTAN1 antibody (clone SPTAN1/3351). These results demonstrate the foremost specificity of the SPTAN1/3351 mAb. Z- and S- score: The Z-score represents the strength of a signal that an antibody (in combination with a fluorescently-tagged anti-IgG secondary Ab) produces when binding to a particular protein on the HuProt(TM) array. Z-scores are described in units of standard deviations (SD's) above the mean value of all signals generated on that array. If the targets on the HuProt(TM) are arranged in descending order of the Z-score, the S-score is the difference (also in units of SD's) between the Z-scores. The S-score therefore represents the relative target specificity of an Ab to its intended target.
SDS-PAGE analysis of purified, BSA-free SPTAN1 antibody as confirmation of integrity and purity.
Availability 1-3 business days
Species Reactivity Human
Format Purified
Clonality Monoclonal (mouse origin)
Isotype Mouse IgG2b, kappa
Clone Name SPTAN1/3351
Purity Protein G affinity chromatography
UniProt Q13813
Localization Cytoplasmic
Applications Immunohistochemistry (FFPE) : 1-2ug/ml
Limitations This SPTAN1 antibody is available for research use only.
Review this product on BioCompare and get a $20 Amazon gift card

Related Products

Description

Spectrin, an actin binding protein that is a major component of the cytoskeletal superstructure of the erythrocyte plasma membrane, is essential in determining the properties of the membrane including its shape and deformability. Spectrins function as membrane organizers and stabilizers, composed of nonhomologous and chains, which aggregate side-to-side in an antiparallel fashion to form dimers, tetramers, and higher polymers. Spectrin I and spectrin I are present in erythrocytes, whereas spectrin II (also designated fodrin ) and spectrin II (also designated fodrin ) are present in other somatic cells. The spectrin tetramers in erythrocytes act as barriers to lateral diffusion, but spectrin dimers seem to lack this function. Activation of calpain results in the breakdown of spectrin II, a neuronal cytoskeleton protein.

Application Notes

Optimal dilution of the SPTAN1 antibody should be determined by the researcher.

Immunogen

A recombinant human partial protein (amino acids 2351-2475) was used as the immunogen for this SPTAN1 antibody.

Storage

Store the SPTAN1 antibody at 2-8oC (with azide) or aliquot and store at -20oC or colder (without azide).

Cross
Bulk Quote Request Form
Name*:
Organization*:
Email*:
Phone Number*:
Catalog No.*:
Comments and Specifics(amount, formulation, etc.)*:
Validation code: Captchapackage Image


Can't read the image? click here to refresh.
    *required field

Your bulk quote request has been submitted successfully!

Please contact us if you have any questions.