• Tel: 858.663.9055
  • SeparatorEmail: info@nsjbio.com
  • Tel: 858.663.9055
  • Email: info@nsjbio.com
Home >> Antibodies >> Sprouty 4 Antibody / SPRY4

Sprouty 4 Antibody / SPRY4 (RQ5681)

  Catalog No Formulation Size Price (USD)  
Image RQ5681 0.5mg/ml if reconstituted with 0.2ml sterile DI water 100 ug 439
Bulk quote request
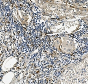
IHC staining of FFPE human rectal cancer with Sprouty 4 antibody. HIER: boil tissue sections in pH8 EDTA for 20 min and allow to cool before testing.
IHC staining of FFPE human rectal cancer with Sprouty 4 antibody. HIER: boil tissue sections in pH8 EDTA for 20 min and allow to cool before testing.
IHC staining of FFPE human liver cancer with Sprouty 4 antibody. HIER: boil tissue sections in pH8 EDTA for 20 min and allow to cool before testing.
Western blot testing of human 1) PC-3, 2) HepG2, 3) K562 and 4) A375 lysate with Sprouty 4 antibody. Predicted molecular weight ~35 kDa.
Flow cytometry testing of human PC-3 cells with Sprouty 4 antibody at 1ug/million cells (blocked with goat sera); Red=cells alone, Green=isotype control, Blue= Sprouty 4 antibody.
Availability 1-3 business days
Species Reactivity Human
Format Antigen affinity purified
Clonality Polyclonal
Isotype Rabbit IgG
Purity Affinity purified
Buffer Lyophilized from 1X PBS with 2% Trehalose and 0.025% sodium azide
UniProt Q9C004
Applications Western Blot : 0.5-1ug/ml
Immunohistochemistry : 1-2ug/ml
Flow Cytometry : 1-3ug/million cells
Direct ELISA : 0.1-0.5ug/ml
Limitations This Sprouty 4 antibody is available for research use only.
Review this product on BioCompare and get a $20 Amazon gift card

Description

Protein sprouty homolog 4 is a protein that in humans is encoded by the SPRY4 gene. It is mapped to 5q31.3. This gene encodes a member of a family of cysteine- and proline-rich proteins. The encoded protein is an inhibitor of the receptor-transduced mitogen-activated protein kinase (MAPK) signaling pathway. Activity of this protein impairs the formation of active GTP-RAS. Nucleotide variation in this gene has been associated with hypogonadotropic hypogonadism 17 with or without anosmia. Alternative splicing results in a multiple transcript variants.

Application Notes

Optimal dilution of the Sprouty 4 antibody should be determined by the researcher.

Immunogen

Recombinant human protein (amino acids M1-K297) was used as the immunogen for the Sprouty 4 antibody.

Storage

After reconstitution, the Sprouty 4 antibody can be stored for up to one month at 4oC. For long-term, aliquot and store at -20oC. Avoid repeated freezing and thawing.

Cross
Bulk Quote Request Form
Name*:
Organization*:
Email*:
Phone Number*:
Catalog No.*:
Comments and Specifics(amount, formulation, etc.)*:
Validation code: Captchapackage Image


Can't read the image? click here to refresh.
    *required field

Your bulk quote request has been submitted successfully!

Please contact us if you have any questions.