• Tel: 858.663.9055
  • SeparatorEmail: info@nsjbio.com
  • Tel: 858.663.9055
  • Email: info@nsjbio.com
Home >> Antibodies >> SPHK1 Antibody / Sphingosine Kinase 1

SPHK1 Antibody / Sphingosine Kinase 1 (RQ6578)

  Catalog No Formulation Size Price (USD)  
Image RQ6578 0.5mg/ml if reconstituted with 0.2ml sterile DI water 100 ug 439
Bulk quote request
Western blot testing of 1) rat liver, 2) rat kidney, 3) rat RH35, 4) mouse liver, 5) mouse kidney and 6) mouse Neuro-2a cell lysate with SPHK1 antibody. Expected molecular weight: 43-51 kDa (multiple isoforms).
Western blot testing of human 1) HepG2, 2) MCF7, 3) A431, 4) PC-3, 5) HeLa, 6) U-2 OS and 7) Caco-2 cell lysate with SPHK1 antibody. Expected molecular weight: 43-51 kDa (multiple isoforms).
Immunofluorescent staining of FFPE human HepG2 cells with SPHK1 antibody (green) and DAPI nuclear stain (blue). HIER: steam section in pH6 citrate buffer for 20 min.
IHC staining of FFPE human placental tissue with SPHK1 antibody. HIER: boil tissue sections in pH8 EDTA for 20 min and allow to cool before testing.
IHC staining of FFPE human lung cancer tissue with SPHK1 antibody. HIER: boil tissue sections in pH8 EDTA for 20 min and allow to cool before testing.
IHC staining of FFPE human liver cancer tissue with SPHK1 antibody. HIER: boil tissue sections in pH8 EDTA for 20 min and allow to cool before testing.
IHC staining of FFPE human gall bladder adenosquamous carcinoma tissue with SPHK1 antibody. HIER: boil tissue sections in pH8 EDTA for 20 min and allow to cool before testing.
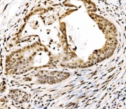
IHC staining of FFPE human laryngeal squamous cell carcinoma tissue with SPHK1 antibody. HIER: boil tissue sections in pH8 EDTA for 20 min and allow to cool before testing.
IHC staining of FFPE human papillary thyroid carcinoma tissue with SPHK1 antibody. HIER: boil tissue sections in pH8 EDTA for 20 min and allow to cool before testing.
IHC staining of FFPE human Hashintoto's thyroditis tissue with SPHK1 antibody. HIER: boil tissue sections in pH8 EDTA for 20 min and allow to cool before testing.
IHC staining of FFPE human gastric cancer tissue with SPHK1 antibody. HIER: boil tissue sections in pH8 EDTA for 20 min and allow to cool before testing.
IHC staining of FFPE mouse brain tissue with SPHK1 antibody. HIER: boil tissue sections in pH8 EDTA for 20 min and allow to cool before testing.
IHC staining of FFPE rat brain tissue with SPHK1 antibody. HIER: boil tissue sections in pH8 EDTA for 20 min and allow to cool before testing.
IHC staining of FFPE rat lung tissue with SPHK1 antibody. HIER: boil tissue sections in pH8 EDTA for 20 min and allow to cool before testing.
Flow cytometry testing of human A431 cells with SPHK1 antibody at 1ug/million cells (blocked with goat sera); Red=cells alone, Green=isotype control, Blue= SPHK1 antibody.
Availability 1-3 business days
Species Reactivity Human, Mouse, Rat
Format Antigen affinity purified
Clonality Polyclonal (rabbit origin)
Isotype Rabbit IgG
Purity Antigen affinity purified
Buffer Lyophilized from 1X PBS with 2% Trehalose
UniProt Q9NYA1
Localization Nuclear, cytoplasm, cell membrane
Applications Western Blot : 1-2ug/ml
Immunohistochemistry (FFPE) : 2-5ug/ml
Immunofluorescence (FFPE) : 5ug/ml
Flow Cytometry : 1-3ug/million cells
Direct ELISA : 0.1-0.5ug/ml
Limitations This SPHK1 antibody is available for research use only.
Review this product on BioCompare and get a $20 Amazon gift card

Related Products

  • Applications : WB, FACS, IHC, ELISA
    Reactivity : Human
  • Applications : WB, ELISA
    Reactivity : Human
  • Applications : WB, IHC, ELISA
    Reactivity : Human
  • Applications : WB, IP, ELISA (peptide)
    Reactivity : Human
    Pred. Reactivity : Cow, Dog, Mouse, Rat
  • Applications : WB, IHC, ELISA
    Reactivity : Human, Mouse, Rat, Primate
  • Applications : WB, FACS, Direct ELISA
    Reactivity : Human

Description

SPHK1 (Sphingosine Kinase 1), is an enzyme that in humans is encoded by the SPHK1 gene. Melendez et al.(2000) mapped the SPHK1 gene to chromosome 17q25.2 based on sequence identity with ESTs mapped to this region. Kohama et al.(1998) demonstrated that recombinant mouse Sphk1 can specifically phosphorylate D-erythro-sphingosine and that D, L-threo-dihydrosphingosine and N, N-dimethylsphingosine can act as competitive inhibitors of recombinant Sphk1. Pitson et al.(2000) found that recombinant SPHK1 and endogenous SPHK1 purified from placenta had identical enzymatic characteristics, suggesting posttranslational modification does not effect functional properties.

Application Notes

Optimal dilution of the SPHK1 antibody should be determined by the researcher.

Immunogen

Recombinant human protein (amino acids R16-H267) was used as the immunogen for the SPHK1 antibody.

Storage

After reconstitution, the SPHK1 antibody can be stored for up to one month at 4oC. For long-term, aliquot and store at -20oC. Avoid repeated freezing and thawing.

Cross
Bulk Quote Request Form
Name*:
Organization*:
Email*:
Phone Number*:
Catalog No.*:
Comments and Specifics(amount, formulation, etc.)*:
Validation code: Captchapackage Image


Can't read the image? click here to refresh.
    *required field

Your bulk quote request has been submitted successfully!

Please contact us if you have any questions.