• Tel: 858.663.9055
  • SeparatorEmail: info@nsjbio.com
  • Tel: 858.663.9055
  • Email: info@nsjbio.com
Home >> Antibodies >> SPHK1 Antibody

SPHK1 Antibody (F50217)

  Catalog No Formulation Size Price (USD)  
Image F50217-0.2ML In 1X PBS, pH 7.4, with 0.09% sodium azide 0.2 ml 429
Image
F50217-0.05ML In 1X PBS, pH 7.4, with 0.09% sodium azide 0.05 ml 199
Bulk quote request
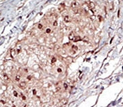
IHC analysis of FFPE human hepatocarcinoma tissue stained with the SPHK1 antibody
Western blot analysis of lysate from 1) 293, 2) HepG2, 3) HUVEC, 4) Raji, 5) rat C6 and 6) mouse C2C12 cell line using SPHK1 antibody at 1:1000. Predicted molecular weight: ~43/51/44kDa (isoforms 1/2/3).
The SPHK1 antibody used in western blot to detect SPHK1 in mouse kidney tissue lysate. Predicted molecular weight: ~43/51/44kDa (isoforms 1/2/3).
Western blot analysis of SPHK1 antibody and 293 cell lysate either nontransfected (Lane 1) or transiently transfected (2) with the SPHK1 gene. Predicted molecular weight: ~43/51/44kDa (isoforms 1/2/3).
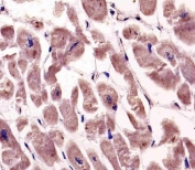
IHC analysis of FFPE human heart tissue stained with the SPHK1 antibody. HIER: boil tissue sections in pH6, 10mM citrate buffer, for 20 min and allow to cool before testing.
Availability 1-3 business days
Species Reactivity Human, Mouse, Rat, Primate
Format Purified
Clonality Polyclonal (rabbit origin)
Isotype Rabbit Ig
Purity Purified
UniProt Q9NYA1
Applications Western Blot : 1:1000
IHC (Paraffin) : 1:50-1:100
Limitations This SPHK1 antibody is available for research use only.
Review this product on BioCompare and get a $20 Amazon gift card

Related Products

  • Applications : WB, FACS, IHC, ELISA
    Reactivity : Human
  • Applications : WB, ELISA
    Reactivity : Human
  • Applications : WB, IHC, ELISA
    Reactivity : Human
  • Applications : WB, IP, ELISA (peptide)
    Reactivity : Human
    Pred. Reactivity : Cow, Dog, Mouse, Rat
  • Applications : WB, IHC-P, IF, FACS, Direct ELISA
    Reactivity : Human, Mouse, Rat
  • Applications : WB, FACS, Direct ELISA
    Reactivity : Human

Description

Sphingosine Kinase (SphK) catalyzes the phosphorylation of the lipid sphingosine, creating the bioactive lipid sphingosine-1-phosphate (S1P). S1P subsequently signals through cell surface G protein-coupled receptors, as well as intracellularly, to modulate cell proliferation, survival, motility and differentiation. SphK is an important signaling enzyme which is activated by diverse agents, including growth factors that signal through receptor tyrosine kinases, agents activating G protein-coupled receptors, and immunoglobulin receptors. Two SphK isotypes, SphK-1 and SphK-2, have been cloned, and both isotypes are ubiquitously expressed. SphK-1 has been shown to mediate cell growth, prevention of apoptosis, and cellular transformation, and is upregulated in a variety of human tumors. In contrast, SphK-2 increases apoptosis, and may be responsible for phosphorylating and activating the immunosuppressive drug FTY720.

Application Notes

Titration of the SPHK1 antibody may be required due to differences in protocols and secondary/substrate sensitivity.

Immunogen

A portion of amino acids 286-315 from the human protein was used as the immunogen for this SPHK1 antibody.

Storage

Aliquot the SPHK1 antibody and store frozen at -20oC or colder. Avoid repeated freeze-thaw cycles.

Cross
Bulk Quote Request Form
Name*:
Organization*:
Email*:
Phone Number*:
Catalog No.*:
Comments and Specifics(amount, formulation, etc.)*:
Validation code: Captchapackage Image


Can't read the image? click here to refresh.
    *required field

Your bulk quote request has been submitted successfully!

Please contact us if you have any questions.