• Tel: 858.663.9055
  • SeparatorEmail: info@nsjbio.com
  • Tel: 858.663.9055
  • Email: info@nsjbio.com
Home >> Antibodies >> SPECC1L Antibody / Cytospin A

SPECC1L Antibody / Cytospin A (F54361)

  Catalog No Formulation Size Price (USD)  
Image F54361-0.4ML In 1X PBS, pH 7.4, with 0.09% sodium azide 0.4 ml 429
Image
F54361-0.08ML In 1X PBS, pH 7.4, with 0.09% sodium azide 0.08 ml 199
Bulk quote request
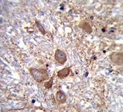
IHC testing of FFPE human brain tissue with SPECC1L antibody. HIER: steam section in pH6 citrate buffer for 20 min and allow to cool prior to staining.
Immunofluorescent staining of fixed and permeabilized human U-251 MG cells with SPECC1L antibody (green), DAPI nuclear stain (blue) and anti-Actin (red).
Western blot testing of human HL60 cell lysate with SPECC1L antibody. Predicted molecular weight ~125 kDa.
Flow cytometry testing of fixed and permeabilized human HL60 cells with SPECC1L antibody; Blue=isotype control, Green= SPECC1L antibody.
Availability 1-3 business days
Species Reactivity Human
Format Purified
Clonality Polyclonal (rabbit origin)
Isotype Rabbit Ig
Purity Antigen affinity purified
UniProt Q69YQ0
Localization Cytoplasmic
Applications Immunofluorescence : 1:25
Flow Cytometry : 1:25 (1x10e6 cells)
Immunohistochemistry (FFPE) : 1:25
Western Blot : 1:500-1:2000
Limitations This SPECC1L antibody is available for research use only.
Review this product on BioCompare and get a $20 Amazon gift card

Related Products

  • Applications : WB, ICC, IF, FACS, ELISA
    Reactivity : Human, Mouse, Rat

Description

Involved in cytokinesis and spindle organization. May play a role in actin cytoskeleton organization and microtubule stabilization and hence required for proper cell adhesion and migration. [UniProt]

Application Notes

The stated application concentrations are suggested starting points. Titration of the SPECC1L antibody may be required due to differences in protocols and secondary/substrate sensitivity.

Immunogen

A portion of amino acids 705-733 from the human protein was used as the immunogen for the SPECC1L antibody.

Storage

Aliquot the SPECC1L antibody and store frozen at -20oC or colder. Avoid repeated freeze-thaw cycles.

Cross
Bulk Quote Request Form
Name*:
Organization*:
Email*:
Phone Number*:
Catalog No.*:
Comments and Specifics(amount, formulation, etc.)*:
Validation code: Captchapackage Image


Can't read the image? click here to refresh.
    *required field

Your bulk quote request has been submitted successfully!

Please contact us if you have any questions.