• Tel: 858.663.9055
  • SeparatorEmail: info@nsjbio.com
  • Tel: 858.663.9055
  • Email: info@nsjbio.com
Home >> Antibodies >> SPAG16 Antibody

SPAG16 Antibody (R36491)

  Catalog No Formulation Size Price (USD)  
Image R36491-100UG 0.5 mg/ml in 1X TBS, pH7.3, with 0.5% BSA (US sourced) and 0.02% sodium azide 100 ug 449
Bulk quote request
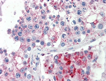
IHC testing of FFPE human testis tissue with SPAG16 antibody at 5ug/ml. HIER: steamed antigen retrieval with pH6 citrate buffer; AP-staining.
Availability 1-3 business days
Species Reactivity Human
Predicted Reactivity Mouse, Dog, Cow
Format Antigen affinity purified
Clonality Polyclonal (goat origin)
Isotype Goat Ig
Purity Antigen affinity
UniProt Q8N0X2
Localization Cytoplasmic
Applications IHC (FFPE) : 5-10ug/ml
ELISA (peptide) LOD : 1:32000
Limitations This SPAG16 antibody is available for research use only.
Review this product on BioCompare and get a $20 Amazon gift card

Related Products

Description

Alternate name(s) for this target: Sperm associated antigen 16; sperm-associated WD repeat protein; WD repeat domain 29; WDR29

Application Notes

Optimal dilution of the SPAG16 antibody should be determined by the researcher.

Immunogen

Amino acids KLHYASYEPTIR were used as the immunogen for this SPAG16 antibody.

Storage

Aliquot and store the SPAG16 antibody at -20oC.

Cross
Bulk Quote Request Form
Name*:
Organization*:
Email*:
Phone Number*:
Catalog No.*:
Comments and Specifics(amount, formulation, etc.)*:
Validation code: Captchapackage Image


Can't read the image? click here to refresh.
    *required field

Your bulk quote request has been submitted successfully!

Please contact us if you have any questions.