• Tel: 858.663.9055
  • SeparatorEmail: info@nsjbio.com
  • Tel: 858.663.9055
  • Email: info@nsjbio.com
Home >> Antibodies >> SP7 Antibody / OSX / Osterix

SP7 Antibody / OSX / Osterix (RQ6267)

  Catalog No Formulation Size Price (USD)  
Image RQ6267 0.5mg/ml if reconstituted with 0.2ml sterile DI water 100 ug 439
Bulk quote request
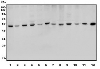
Western blot testing of human 1) HeLa, 2) U-87 MG, 3) MDA-MB-453, 4) MCF7, 5) Jurkat, 6) ThP-1 and rat 7) lung, 8) thymus, 9) skeletal muscle, 10) testis and mouse 11) lung and 12) thymus lysate with SP7 antibody. Predicted molecular weight ~45 kDa.
Availability 1-3 business days
Species Reactivity Human, Mouse, Rat
Format Antigen affinity purified
Clonality Polyclonal (rabbit origin)
Isotype Rabbit IgG
Purity Affinity purified
Buffer Lyophilized from 1X PBS with 2% Trehalose
UniProt Q8TDD2
Applications Western Blot : 1-2ug/ml
Direct ELISA : 0.1-0.5ug/ml
Limitations This SP7 antibody is available for research use only.
Review this product on BioCompare and get a $20 Amazon gift card

Description

Transcription factor Sp7, also called Osterix (Osx), is a protein that in humans is encoded by the SP7 gene. This gene encodes a member of the Sp subfamily of Sp/XKLF transcription factors. Sp family proteins are sequence-specific DNA-binding proteins characterized by an amino-terminal trans-activation domain and three carboxy-terminal zinc finger motifs. This protein is a bone specific transcription factor and is required for osteoblast differentiation and bone formation.

Application Notes

Optimal dilution of the SP7 antibody should be determined by the researcher.

Immunogen

A human recombinant partial protein (amino acids A2-E241) was used as the immunogen for the SP7 antibody.

Storage

After reconstitution, the SP7 antibody can be stored for up to one month at 4oC. For long-term, aliquot and store at -20oC. Avoid repeated freezing and thawing.

Cross
Bulk Quote Request Form
Name*:
Organization*:
Email*:
Phone Number*:
Catalog No.*:
Comments and Specifics(amount, formulation, etc.)*:
Validation code: Captchapackage Image


Can't read the image? click here to refresh.
    *required field

Your bulk quote request has been submitted successfully!

Please contact us if you have any questions.