• Tel: 858.663.9055
  • SeparatorEmail: info@nsjbio.com
  • Tel: 858.663.9055
  • Email: info@nsjbio.com
Home >> Antibodies >> SP3 Antibody

SP3 Antibody (R32184)

  Catalog No Formulation Size Price (USD)  
Image R32184 0.5mg/ml if reconstituted with 0.2ml sterile DI water 100 ug 439
Bulk quote request
Western blot testing of 1) rat PC-12, 2) mouse HEPA and 3) human HeLa lysate with SP3 antibody. Predicted/observed molecular weight ~82 kDa.
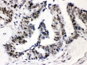
IHC testing of FFPE human intestinal cancer wtih SP3 antibody. HIER: Boil the paraffin sections in pH 6, 10mM citrate buffer for 20 minutes and allow to cool prior to staining.
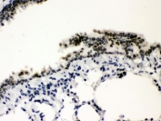
IHC testing of FFPE mouse lung wtih SP3 antibody. HIER: Boil the paraffin sections in pH 6, 10mM citrate buffer for 20 minutes and allow to cool prior to staining.
IHC testing of FFPE rat lung wtih SP3 antibody. HIER: Boil the paraffin sections in pH 6, 10mM citrate buffer for 20 minutes and allow to cool prior to staining.
Availability 1-3 business days
Species Reactivity Human, Mouse, Rat
Format Antigen affinity purified
Clonality Polyclonal (rabbit origin)
Isotype Rabbit IgG
Purity Antigen affinity
Buffer Lyophilized from 1X PBS with 2.5% BSA and 0.025% sodium azide
UniProt Q02447
Applications Western Blot : 0.1-0.5ug/ml
IHC (FFPE) : 0.5-1ug/ml
Limitations This SP3 antibody is available for research use only.
Review this product on BioCompare and get a $20 Amazon gift card

Description

Sp3 transcription factor, also known as SP3, refers to both a protein and the gene it is encoded by. This gene belongs to a family of Sp1 related genes that encode transcription factors that regulate transcription by binding to consensus GC- and GT-box regulatory elements in target genes. And this protein contains a zinc finger DNA-binding domain and several transactivation domains, and has been reported to function as a bifunctional transcription factor that either stimulates or represses the transcription of numerous genes. Transcript variants encoding different isoforms have been described for this gene, and one has been reported to initiate translation from a non-AUG (AUA) start codon. Additional isoforms, resulting from the use of alternate downstream translation initiation sites, have also been noted. A related pseudogene has been identified on chromosome 13.

Application Notes

Optimal dilution of the SP3 antibody should be determined by the researcher.

Immunogen

Amino acids NTNDLTHLRVQVVDEEGDQQHQEGKRLRRVA of human SP3 were used as the immunogen for the SP3 antibody.

Storage

After reconstitution, the SP3 antibody can be stored for up to one month at 4oC. For long-term, aliquot and store at -20oC. Avoid repeated freezing and thawing.

Cross
Bulk Quote Request Form
Name*:
Organization*:
Email*:
Phone Number*:
Catalog No.*:
Comments and Specifics(amount, formulation, etc.)*:
Validation code: Captchapackage Image


Can't read the image? click here to refresh.
    *required field

Your bulk quote request has been submitted successfully!

Please contact us if you have any questions.