• Tel: 858.663.9055
  • SeparatorEmail: info@nsjbio.com
  • Tel: 858.663.9055
  • Email: info@nsjbio.com
Home >> Antibodies >> SOX6 Antibody

SOX6 Antibody (RQ5840)

  Catalog No Formulation Size Price (USD)  
Image RQ5840 0.5mg/ml if reconstituted with 0.2ml sterile DI water 100 ug 439
Bulk quote request
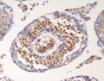
IHC staining of FFPE mouse testis with SOX6 antibody. HIER: boil tissue sections in pH8 EDTA for 20 min and allow to cool before testing.
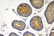
IHC staining of FFPE rat testis with SOX6 antibody. HIER: boil tissue sections in pH8 EDTA for 20 min and allow to cool before testing.
Western blot testing of human 1) placenta, 2) Caco-2 and 3) U-2 OS lysate with SOX6 antibody. Predicted molecular weight ~92 kDa.
Flow cytometry testing of human A549 cells with SOX6 antibody at 1ug/million cells (blocked with goat sera); Red=cells alone, Green=isotype control, Blue= SOX6 antibody.
Availability 1-3 business days
Species Reactivity Human, Mouse
Format Antigen affinity purified
Clonality Polyclonal (rabbit origin)
Isotype Rabbit IgG
Purity Affinity purified
Buffer Lyophilized from 1X PBS with 2% Trehalose and 0.025% sodium azide
UniProt P35712
Localization Nuclear
Applications Western Blot : 0.5-1ug/ml
Immunohistochemistry : 1-2ug/ml
Flow Cytometry : 1-3ug/million cells
Direct ELISA : 0.1-0.5ug/ml
Limitations This SOX6 antibody is available for research use only.
Review this product on BioCompare and get a $20 Amazon gift card

Description

Transcription factor SOX-6 is a protein that in humans is encoded by the SOX6 gene. This gene encodes a member of the D subfamily of sex determining region y-related transcription factors that are characterized by a conserved DNA-binding domain termed the high mobility group box and by their ability to bind the minor groove of DNA. The encoded protein is a transcriptional activator that is required for normal development of the central nervous system, chondrogenesis and maintenance of cardiac and skeletal muscle cells. The encoded protein interacts with other family members to cooperatively activate gene expression. Alternative splicing results in multiple transcript variants.

Application Notes

Optimal dilution of the SOX6 antibody should be determined by the researcher.

Immunogen

Amino acids DQDTVMKAIQEARKMREQIQREQQQQ from the human protein were used as the immunogen for the SOX6 antibody.

Storage

After reconstitution, the SOX6 antibody can be stored for up to one month at 4oC. For long-term, aliquot and store at -20oC. Avoid repeated freezing and thawing.

Cross
Bulk Quote Request Form
Name*:
Organization*:
Email*:
Phone Number*:
Catalog No.*:
Comments and Specifics(amount, formulation, etc.)*:
Validation code: Captchapackage Image


Can't read the image? click here to refresh.
    *required field

Your bulk quote request has been submitted successfully!

Please contact us if you have any questions.