• Tel: 858.663.9055
  • SeparatorEmail: info@nsjbio.com
  • Tel: 858.663.9055
  • Email: info@nsjbio.com
Home >> Antibodies >> SOX4 Antibody

SOX4 Antibody [clone SOX4/2540] (V3874)

  Catalog No Formulation Size Price (USD)  
Image V3874-100UG 0.2 mg/ml in 1X PBS with 0.1 mg/ml BSA (US sourced) and 0.05% sodium azide 100 ug 539
Image
V3874-20UG 0.2 mg/ml in 1X PBS with 0.1 mg/ml BSA (US sourced) and 0.05% sodium azide 20 ug 249
Image
V3874SAF-100UG 1 mg/ml in 1X PBS; BSA free, sodium azide free 100 ug 539
Microvalidated
Bulk quote request
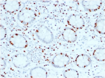
IHC testing of FFPE human colon carcinoma with SOX4 antibody (clone SOX4/2540). HIER: boil tissue sections in pH6, 10mM citrate buffer for 10-20 min and allow to cool before testing.
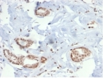
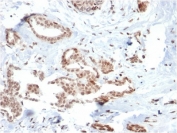
IHC testing of FFPE human breast carcinoma with SOX4 antibody (clone SOX4/2540). HIER: boil tissue sections in pH6, 10mM citrate buffer for 10-20 min and allow to cool before testing.
Analysis of HuProt(TM) microarray containing more than 19,000 full-length human proteins using SOX4 antibody (clone SOX4/2540). These results demonstrate the foremost specificity of the SOX4/2540 mAb.
Z- and S- score: The Z-score represents the strength of a signal that an antibody (in combination with a fluorescently-tagged anti-IgG secondary Ab) produces when binding to a particular protein on the HuProt(TM) array. Z-scores are described in units of standard deviations (SD's) above the mean value of all signals generated on that array. If the targets on the HuProt(TM) are arranged in descending order of the Z-score, the S-score is the difference (also in units of SD's) between the Z-scores. The S-score therefore represents the relative target specificity of an Ab to its intended target.
SDS-PAGE analysis of purified, BSA-free SOX4 antibody (clone SOX4/2540) as confirmation of integrity and purity.
Availability 1-3 business days
Species Reactivity Human
Format Purified
Clonality Monoclonal (mouse origin)
Isotype Mouse IgG2b, kappa
Clone Name SOX4/2540
Purity Protein G affinity chromatography
UniProt Q06945
Localization Nuclear
Applications Immunohistochemistry (FFPE) : 1-2ug/ml for 30 min at RT
Limitations This SOX4 antibody is available for research use only.
Review this product on BioCompare and get a $20 Amazon gift card

Related Products

  • Applications : FACS, IF, WB, IHC-P
    Reactivity : Human
    Microvalidated
  • Applications : IF, WB, IHC, FACS, ELISA
    Reactivity : Human
  • Applications : IHC, WB, ELISA
    Reactivity : Human
  • Applications : WB
    Reactivity : Human, Mouse

Description

SOX4 is a member of the SOX (SRY-related HMG-box) family of transcription factors with a critical role in embryonic development and in cell-fate determination during organogenesis of the heart, pancreas, brain, and in B and T lymphocyte differentiation. SOX4 gene expression is upregulated in many cancer types, and increased SOX4 activity contributes to cellular transformation, cell survival, and metastasis. Gene expression profiling has uncovered SOX4 with upregulated activity during TGF-β-induced epithelial-mesenchymal transition (EMT) in normal and cancerous breast epithelial cells. SOX4 is indispensable for EMT and cell survival in vitro and for primary tumor growth and metastasis in vivo. SOX4 is identified as a master regulator of EMT by governing the expression of the epigenetic modifier Ezh2.

Application Notes

Optimal dilution of the SOX4 antibody should be determined by the researcher.

Immunogen

Full length recombinant human protein was used as the immunogen for the SOX4 antibody.

Storage

Store the SOX4 antibody at 2-8oC (with azide) or aliquot and store at -20oC or colder (without azide).

Cross
Bulk Quote Request Form
Name*:
Organization*:
Email*:
Phone Number*:
Catalog No.*:
Comments and Specifics(amount, formulation, etc.)*:
Validation code: Captchapackage Image


Can't read the image? click here to refresh.
    *required field

Your bulk quote request has been submitted successfully!

Please contact us if you have any questions.