• Tel: 858.663.9055
  • SeparatorEmail: info@nsjbio.com
  • Tel: 858.663.9055
  • Email: info@nsjbio.com
Home >> Antibodies >> SOX4 Antibody

SOX4 Antibody [clone PCRP-SOX4-1D6] (V9701)

  Catalog No Formulation Size Price (USD)  
Image V9701-100UG 0.2 mg/ml in 1X PBS with 0.1 mg/ml BSA (US sourced), 0.05% sodium azide 100 ug 539
Image
V9701-20UG 0.2 mg/ml in 1X PBS with 0.1 mg/ml BSA (US sourced), 0.05% sodium azide 20 ug 249
Image
V9701SAF-100UG 1 mg/ml in 1X PBS; BSA free, sodium azide free 100 ug 539
Microvalidated
Bulk quote request
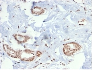
IHC staining of FFPE human breast carcinoma tissue with SOX4 antibody (clone PCRP-SOX4-1D6). HIER: boil tissue sections in pH 9 10mM Tris with 1mM EDTA for 20 min and allow to cool before testing.
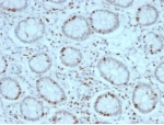
IHC staining of FFPE human colon carcinoma tissue with SOX4 antibody (clone PCRP-SOX4-1D6). HIER: boil tissue sections in pH 9 10mM Tris with 1mM EDTA for 20 min and allow to cool before testing.
Immunofluorescent staining of PFA-fixed human HeLa cells using SOX4 antibody (green, clone PCRP-SOX4-1D6) and phalloidin (red).
FACS staining of PFA-fixed human HeLa cells with SOX4 antibody (blue, clone PCRP-SOX4-1D6), and unstained cells (red).
SDS-PAGE analysis of purified, BSA-free SOX4 antibody (clone PCRP-SOX4-1D6) as confirmation of integrity and purity.
Analysis of HuProt(TM) microarray containing more than 19,000 full-length human proteins using SOX4 antibody (clone PCRP-SOX4-1D6). These results demonstrate the foremost specificity of the PCRP-SOX4-1D6 mAb. Z- and S- score: The Z-score represents the strength of a signal that an antibody (in combination with a fluorescently-tagged anti-IgG secondary Ab) produces when binding to a particular protein on the HuProt(TM) array. Z-scores are described in units of standard deviations (SD's) above the mean value of all signals generated on that array. If the targets on the HuProt(TM) are arranged in descending order of the Z-score, the S-score is the difference (also in units of SD's) between the Z-scores. The S-score therefore represents the relative target specificity of an Ab to its intended target.
Availability 1-3 business days
Species Reactivity Human
Format Purified
Clonality Monoclonal (mouse origin)
Isotype Mouse IgG2b, kappa
Clone Name PCRP-SOX4-1D6
Purity Protein A/G affinity
UniProt Q06945
Localization Nucleus
Applications Flow Cytometry : 1-2ug/million cells
Immunofluorescence : 1-2ug/ml
Western Blot : 1-2ug/ml
Immunohistochemistry (FFPE) : 1-2ug/ml
Limitations This SOX4 antibody is available for research use only.
Review this product on BioCompare and get a $20 Amazon gift card

Related Products

  • Applications : IHC-P
    Reactivity : Human
    Microvalidated
  • Applications : IF, WB, IHC, FACS, ELISA
    Reactivity : Human
  • Applications : IHC, WB, ELISA
    Reactivity : Human
  • Applications : WB
    Reactivity : Human, Mouse

Description

SOX4 is a member of the SOX (SRY-related HMG-box) family of transcription factors with a critical role in embryonic development and in cell-fate determination during organogenesis of the heart, pancreas, brain, and in B and T lymphocyte differentiation. SOX4 gene expression is upregulated in many cancer types, and increased SOX4 activity contributes to cellular transformation, cell survival, and metastasis. Gene expression profiling has uncovered SOX4 with upregulated activity during TGF--induced epithelial-mesenchymal transition (EMT) in normal and cancerous breast epithelial cells. SOX4 is indispensable for EMT and cell survival invitro and for primary tumor growth and metastasis invivo. SOX4 is identified as a master regulator of EMT by governing the expression of the epigenetic modifier Ezh2.

Application Notes

Optimal dilution of the SOX4 antibody should be determined by the researcher.

Immunogen

A portion of amino acids 45-130 was used as the immunogen for the SOX4 antibody.

Storage

Aliquot the SOX4 antibody and store frozen at -20oC or colder. Avoid repeated freeze-thaw cycles.

Cross
Bulk Quote Request Form
Name*:
Organization*:
Email*:
Phone Number*:
Catalog No.*:
Comments and Specifics(amount, formulation, etc.)*:
Validation code: Captchapackage Image


Can't read the image? click here to refresh.
    *required field

Your bulk quote request has been submitted successfully!

Please contact us if you have any questions.