• Tel: 858.663.9055
  • SeparatorEmail: info@nsjbio.com
  • Tel: 858.663.9055
  • Email: info@nsjbio.com
Home >> Antibodies >> Sorting nexin 4 Antibody / SNX4

Sorting nexin 4 Antibody / SNX4 (RQ7743)

  Catalog No Formulation Size Price (USD)  
Image RQ7743 0.5mg/ml if reconstituted with 0.2ml sterile DI water 100 ug 439
Bulk quote request
IHC staining of FFPE human thyroid papillary carcinoma tissue with Sorting nexin 4 antibody. HIER: boil tissue sections in pH8 EDTA for 20 min and allow to cool before testing.
IHC staining of FFPE human colon adenocarcinoma tissue with Sorting nexin 4 antibody. HIER: boil tissue sections in pH8 EDTA for 20 min and allow to cool before testing.
IHC staining of FFPE human liver cancer tissue with Sorting nexin 4 antibody. HIER: boil tissue sections in pH8 EDTA for 20 min and allow to cool before testing.
IHC staining of FFPE human glioblastoma tissue with Sorting nexin 4 antibody. HIER: boil tissue sections in pH8 EDTA for 20 min and allow to cool before testing.
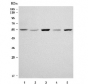
Western blot testing of 1) human 293T, 2) human HeLa, 3) rat PC-12, 4) mouse lung and 5) mouse NIH 3T3 cell lysate with Sorting nexin 4 antibody. Predicted molecular weight ~52 kDa.
Availability 1-3 business days
Species Reactivity Human, Mouse, Rat
Format Antigen affinity purified
Clonality Polyclonal (rabbit origin)
Isotype Rabbit IgG
Purity Antigen affinity purified
Buffer Lyophilized from 1X PBS with 2% Trehalose
UniProt O95219
Localization Cytoplasmic
Applications Western Blot : 0.5-1ug/ml
Immunohistochemistry (FFPE) : 2-5ug/ml
Immunofluorescence : 5ug/ml
Flow Cytometry : 1-3ug/million cells
Direct ELISA : 0.1-0.5ug/ml
Limitations This Sorting nexin 4 antibody is available for research use only.
Review this product on BioCompare and get a $20 Amazon gift card

Description

Sorting nexin-4 is a protein that in humans is encoded by the SNX4 gene. This gene encodes a member of the sorting nexin family. Members of this family contain a phox (PX) domain, which is a phosphoinositide binding domain, and are involved in intracellular trafficking. This protein associated with the long isoform of the leptin receptor and with receptor tyrosine kinases for platelet-derived growth factor, insulin, and epidermal growth factor in cell cultures, but its function is unknown. This protein may form oligomeric complexes with family members. Two transcript variants, one protein coding and the other non-protein coding, have been found for this gene.

Application Notes

Optimal dilution of the Sorting nexin 4 antibody should be determined by the researcher.

Immunogen

E. coli-derived recombinant human protein (amino acids M1-M450) was used as the immunogen for the Sorting nexin 4 antibody.

Storage

After reconstitution, the Sorting nexin 4 antibody can be stored for up to one month at 4oC. For long-term, aliquot and store at -20oC. Avoid repeated freezing and thawing.

Cross
Bulk Quote Request Form
Name*:
Organization*:
Email*:
Phone Number*:
Catalog No.*:
Comments and Specifics(amount, formulation, etc.)*:
Validation code: Captchapackage Image


Can't read the image? click here to refresh.
    *required field

Your bulk quote request has been submitted successfully!

Please contact us if you have any questions.