• Tel: 858.663.9055
  • SeparatorEmail: info@nsjbio.com
  • Tel: 858.663.9055
  • Email: info@nsjbio.com
Home >> Antibodies >> Sorting nexin 1 Antibody / SNX1

Sorting nexin 1 Antibody / SNX1 (RQ7751)

  Catalog No Formulation Size Price (USD)  
Image RQ7751 0.5mg/ml if reconstituted with 0.2ml sterile DI water 100 ug 439
Bulk quote request
Immunofluorescent staining of FFPE human A549 cells with Sorting nexin 1 antibody (green) and DAPI nuclear stain (blue). HIER: steam section in pH6 citrate buffer for 20 min.
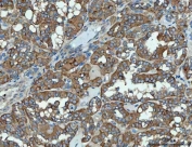
IHC staining of FFPE human thyroid cancer tissue with Sorting nexin 1 antibody. HIER: boil tissue sections in pH8 EDTA for 20 min and allow to cool before testing.
IHC staining of FFPE human ovarian cancer tissue with Sorting nexin 1 antibody. HIER: boil tissue sections in pH8 EDTA for 20 min and allow to cool before testing.
IHC staining of FFPE human liver tissue with Sorting nexin 1 antibody. HIER: boil tissue sections in pH8 EDTA for 20 min and allow to cool before testing.
Western blot testing of human 1) HeLa and 2) HepG2 cell lysate with Sorting nexin 1 antibody. Predicted molecular weight ~59 kDa, commonly observed at 59-74 kDa.
Flow cytometry testing of human U-2 OS cells with Sorting nexin 1 antibody at 1ug/million cells (blocked with goat sera); Red=cells alone, Green=isotype control, Blue= Sorting nexin 1 antibody.
Availability 1-3 business days
Species Reactivity Human
Format Antigen affinity purified
Clonality Polyclonal (rabbit origin)
Isotype Rabbit IgG
Purity Antigen affinity purified
Buffer Lyophilized from 1X PBS with 2% Trehalose
UniProt Q13596
Localization Cytoplasmic
Applications Western Blot : 0.5-1ug/ml
Immunofluorescence : 5ug/ml
Flow Cytometry : 1-3ug/million cells
Immunohistochemistry (FFPE) : 2-5ug/ml
Direct ELISA : 0.1-0.5ug/ml
Limitations This Sorting nexin 1 antibody is available for research use only.
Review this product on BioCompare and get a $20 Amazon gift card

Related Products

  • Applications : WB, IHC, ICC, ELISA (peptide)
    Reactivity : Human
    Pred. Reactivity : Cow, Dog, Mouse, Rat

Description

Sorting nexin-1 is a protein that in humans is encoded by the SNX1 gene. This gene encodes a member of the sorting nexin family. Members of this family contain a phox (PX) domain, which is a phosphoinositide binding domain, and are involved in intracellular trafficking. This endosomal protein regulates the cell-surface expression of epidermal growth factor receptor. This protein also has a role in sorting protease-activated receptor-1 from early endosomes to lysosomes. This protein may form oligomeric complexes with family members. This gene results in three transcript variants encoding distinct isoforms.

Application Notes

Optimal dilution of the Sorting nexin 1 antibody should be determined by the researcher.

Immunogen

E. coli-derived recombinant human protein (amino acids Q83-Q505) was used as the immunogen for the Sorting nexin 1 antibody.

Storage

After reconstitution, the Sorting nexin 1 antibody can be stored for up to one month at 4oC. For long-term, aliquot and store at -20oC. Avoid repeated freezing and thawing.

Cross
Bulk Quote Request Form
Name*:
Organization*:
Email*:
Phone Number*:
Catalog No.*:
Comments and Specifics(amount, formulation, etc.)*:
Validation code: Captchapackage Image


Can't read the image? click here to refresh.
    *required field

Your bulk quote request has been submitted successfully!

Please contact us if you have any questions.