• Tel: 858.663.9055
  • SeparatorEmail: info@nsjbio.com
  • Tel: 858.663.9055
  • Email: info@nsjbio.com
Home >> Antibodies >> SOD3 Antibody

SOD3 Antibody (RQ4091)

  Catalog No Formulation Size Price (USD)  
Image RQ4091 0.5mg/ml if reconstituted with 0.2ml sterile DI water 100 ug 439
Bulk quote request
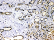
IHC testing of FFPE human lung cancer tissue with SOD3 antibody at 1ug/ml. Required HIER: steam section in pH6 citrate buffer for 20 min and allow to cool prior to testing.
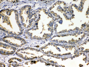
IHC testing of FFPE human breast cancer tissue with SOD3 antibody at 1ug/ml. Required HIER: steam section in pH6 citrate buffer for 20 min and allow to cool prior to testing.
Immunofluorescent staining of FFPE human PC-3 cells with SOD3 antibody (green) and DAPI nuclear stain (blue). HIER: steam section in pH6 citrate buffer for 20 min.
Western blot testing of human PC-3 cell lysate with SOD3 antibody. Predicted molecular weight: 26-32 kDa.
Availability 1-3 business days
Species Reactivity Human
Format Antigen affinity purified
Clonality Polyclonal (rabbit origin)
Isotype Rabbit IgG
Purity Antigen affinity purified
Buffer Lyophilized from 1X PBS with 2% Trehalose
UniProt P08294
Localization Cytoplasmic, secreted
Applications Immunohistochemistry (FFPE) : 1-2ug/ml
Western Blot : 0.5-1ug/ml
Immunofluorescence : 5ug/ml
Limitations This SOD3 antibody is available for research use only.
Review this product on BioCompare and get a $20 Amazon gift card

Related Products

Description

SOD3 (Superoxide Dismutase 3), also called Superoxide Dismutase extracellular, EC-SOD, and Cu-Zn, is an enzyme that in humans is encoded by the SOD3 gene. This gene encodes a member of the superoxide dismutase (SOD) protein family. SODs are antioxidant enzymes that catalyze the dismutation of two superoxide radicals into hydrogen peroxide and oxygen. Hendrickson et al. (1990) mapped the SOD3 gene to 4pter-q21 by a study of somatic cell hybrids. Stern et al. (2003) narrowed the assignment to 4p15.3-p15.1 by somatic cell and radiation hybrid analysis, linkage mapping, and FISH. The product of this gene is thought to protect the brain, lungs, and other tissues from oxidative stress. The protein is secreted into the extracellular space and forms a glycosylated homotetramer that is anchored to the extracellular matrix (ECM) and cell surfaces through an interaction with heparan sulfate proteoglycan and collagen. A fraction of the protein is cleaved near the C-terminus before secretion to generate circulating tetramers that do not interact with the ECM.

Application Notes

Optimal dilution of the SOD3 antibody should be determined by the researcher.

Immunogen

Amino acids WTGEDSAEPNSDSAEWIRDMYAKVTEIWQEVMQRRDDD from the human protein were used as the immunogen for the SOD3 antibody.

Storage

After reconstitution, the SOD3 antibody can be stored for up to one month at 4oC. For long-term, aliquot and store at -20oC. Avoid repeated freezing and thawing.

Cross
Bulk Quote Request Form
Name*:
Organization*:
Email*:
Phone Number*:
Catalog No.*:
Comments and Specifics(amount, formulation, etc.)*:
Validation code: Captchapackage Image


Can't read the image? click here to refresh.
    *required field

Your bulk quote request has been submitted successfully!

Please contact us if you have any questions.