• Tel: 858.663.9055
  • SeparatorEmail: info@nsjbio.com
  • Tel: 858.663.9055
  • Email: info@nsjbio.com
Home >> Antibodies >> SOD2 Antibody

SOD2 Antibody [clone IDO-19] (RQ5041)

  Catalog No Formulation Size Price (USD)  
Image RQ5041 Antibody in PBS with 0.02% sodium azide, 50% glycerol and 0.4-0.5mg/ml BSA 100 ul 439
Microvalidated Rab Mono Image
Bulk quote request
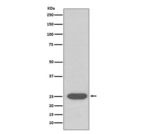
Western blot testing of rat brain with SOD2 antibody. Predicted molecular weight ~25 kDa.
Availability 1-2 weeks
Species Reactivity Human, Rat
Format Purified
Clonality Rabbit Monoclonal
Isotype Rabbit IgG
Clone Name IDO-19
Purity Affinity purified
UniProt P04179
Applications Western Blot : 1:500-1:2000
Limitations This SOD2 antibody is available for research use only.
Review this product on BioCompare and get a $20 Amazon gift card

Related Products

Description

'Superoxide dismutase [Mn], mitochondrial' destroys superoxide anion radicals which are normally produced within the cells and which are toxic to biological systems. [UniProt]

Application Notes

Optimal dilution of the SOD2 antibody should be determined by the researcher.

Immunogen

A synthetic peptide specific to human SOD2 was used as the immunogen for the SOD2 antibody.

Storage

Store the SOD2 antibody at -20oC.

Cross
Bulk Quote Request Form
Name*:
Organization*:
Email*:
Phone Number*:
Catalog No.*:
Comments and Specifics(amount, formulation, etc.)*:
Validation code: Captchapackage Image


Can't read the image? click here to refresh.
    *required field

Your bulk quote request has been submitted successfully!

Please contact us if you have any questions.