• Tel: 858.663.9055
  • SeparatorEmail: info@nsjbio.com
  • Tel: 858.663.9055
  • Email: info@nsjbio.com
Home >> Antibodies >> SOD1 Antibody / Superoxide Dismutase 1

SOD1 Antibody / Superoxide Dismutase 1 [clone SOD1/3926] (V8623)

  Catalog No Formulation Size Price (USD)  
Image V8623-100UG 0.2 mg/ml in 1X PBS with 0.1 mg/ml BSA (US sourced) and 0.05% sodium azide 100 ug 539
Image
V8623-20UG 0.2 mg/ml in 1X PBS with 0.1 mg/ml BSA (US sourced) and 0.05% sodium azide 20 ug 249
Image
V8623SAF-100UG 1 mg/ml in 1X PBS; BSA free, sodium azide free 100 ug 539
Microvalidated
Bulk quote request
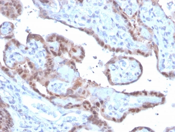
IHC staining of FFPE human placenta with SOD1 antibody. HIER: boil tissue sections in pH 9 10mM Tris with 1mM EDTA for 20 min and allow to cool before testing.
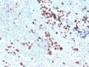
IHC staining of FFPE human tonsil with SOD1 antibody. HIER: boil tissue sections in pH 9 10mM Tris with 1mM EDTA for 20 min and allow to cool before testing.
Western blot testing of human 1) JEG-3 and 2) LNCaP cell lysate with SOD1 antibody. Predicted molecular weight ~16 kDa.
Analysis of HuProt(TM) microarray containing more than 19,000 full-length human proteins using SOD1 antibody. These results demonstrate the foremost specificity of the SOD1/3926 mAb. Z- and S- score: The Z-score represents the strength of a signal that an antibody (in combination with a fluorescently-tagged anti-IgG secondary Ab) produces when binding to a particular protein on the HuProt(TM) array. Z-scores are described in units of standard deviations (SD's) above the mean value of all signals generated on that array. If the targets on the HuProt(TM) are arranged in descending order of the Z-score, the S-score is the difference (also in units of SD's) between the Z-scores. The S-score therefore represents the relative target specificity of an Ab to its intended target.
SDS-PAGE analysis of purified, BSA-free SOD1 antibody as confirmation of integrity and purity.
Availability 1-3 business days
Species Reactivity Human
Format Purified
Clonality Monoclonal (mouse origin)
Isotype Mouse IgG1, kappa
Clone Name SOD1/3926
Purity Protein G affinity chromatography
UniProt P00441
Localization Cytoplasmic, nuclear
Applications Western Blot : 2-4ug/ml
Immunohistochemistry (FFPE) : 1-2ug/ml for 30 minutes at RT
Limitations This SOD1 antibody is available for research use only.
Review this product on BioCompare and get a $20 Amazon gift card

Related Products

Description

Cu-Zn superoxide dismutase-1 (SOD-1) is a well-characterized cytosolic scavenger of oxygen free radicals that requires copper and zinc binding to potentiate its enzymatic activity. Enzymatically, SOD-1 facilitates the dismutation of oxygen radicals to hydrogen peroxide and also catalyzes pro-oxidant reactions, which include the peroxidase activity and hydroxyl radical generating activity. SOD-1 is ubiquitously expressed in somatic cells and functions as a homodimer. Defects in the gene encoding SOD-1 have been implicated in the progression of neurological diseases, including amyotrophic lateral sclerosis (ALS), a neurodegenerative disease characterized by the loss of spinal motor neurons, Down syndrome and Alzheimer s disease. In familial ALS, several mutations in SOD-1 predominate, resulting in the loss of zinc binding, the loss of scavenging activity of SOD-1, and correlate with an increase in neurotoxicity and motor neuron death.

Application Notes

Optimal dilution of the SOD1 antibody should be determined by the researcher.

Immunogen

A portion of amino acids 14-148 from the human protein was used as the immunogen for the SOD1 antibody.

Storage

Store the SOD1 antibody at 2-8oC (with azide) or aliquot and store at -20oC or colder (without azide).

Cross
Bulk Quote Request Form
Name*:
Organization*:
Email*:
Phone Number*:
Catalog No.*:
Comments and Specifics(amount, formulation, etc.)*:
Validation code: Captchapackage Image


Can't read the image? click here to refresh.
    *required field

Your bulk quote request has been submitted successfully!

Please contact us if you have any questions.