• Tel: 858.663.9055
  • SeparatorEmail: info@nsjbio.com
  • Tel: 858.663.9055
  • Email: info@nsjbio.com
Home >> Antibodies >> SOCS6 Antibody

SOCS6 Antibody (F43534)

  Catalog No Formulation Size Price (USD)  
Image F43534-0.4ML In 1X PBS, pH 7.4, with 0.09% sodium azide 0.4 ml 429
Image
F43534-0.08ML In 1X PBS, pH 7.4, with 0.09% sodium azide 0.08 ml 199
Bulk quote request
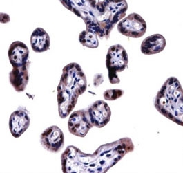
SOCS6 antibody immunohistochemistry analysis in formalin fixed and paraffin embedded human placenta tissue.
SOCS6 antibody western blot analysis in 293 lysate.
Availability 1-3 business days
Species Reactivity Human
Format Antigen affinity purified
Clonality Polyclonal (rabbit origin)
Isotype Rabbit Ig
Purity Antigen affinity
UniProt O14544
Applications Western Blot : 1:1000
IHC (Paraffin) : 1:10-1:50
Limitations This SOCS6 antibody is available for research use only.
Review this product on BioCompare and get a $20 Amazon gift card

Description

The protein encoded by this gene contains a SH2 domain and a CIS homolog domain. The protein thus belongs to the cytokine-induced STAT inhibitor (CIS), also known as suppressor of cytokine signaling (SOCS) or STAT-induced STAT inhibitor (SSI), protein family. CIS family members are known to be cytokine-inducible negative regulators of cytokine signaling. The expression of this gene can be induced by GM-CSF and EPO in hematopoietic cells. A high expression level of this gene was found in factor-independent chronic myelogenous leukemia (CML) and erythroleukemia (HEL) cell lines.

Application Notes

Titration of the SOCS6 antibody may be required due to differences in protocols and secondary/substrate sensitivity.

Immunogen

A portion of amino acids 40-69 from the human protein was used as the immunogen for this SOCS6 antibody.

Storage

Aliquot the SOCS6 antibody and store frozen at -20oC or colder. Avoid repeated freeze-thaw cycles.

Cross
Bulk Quote Request Form
Name*:
Organization*:
Email*:
Phone Number*:
Catalog No.*:
Comments and Specifics(amount, formulation, etc.)*:
Validation code: Captchapackage Image


Can't read the image? click here to refresh.
    *required field

Your bulk quote request has been submitted successfully!

Please contact us if you have any questions.