• Tel: 858.663.9055
  • SeparatorEmail: info@nsjbio.com
  • Tel: 858.663.9055
  • Email: info@nsjbio.com
Home >> Antibodies >> SOCS1 Antibody / TIP3 / SSI1

SOCS1 Antibody / TIP3 / SSI1 (R30258)

  Catalog No Formulation Size Price (USD)  
Image R30258 0.5mg/ml if reconstituted with 0.2ml sterile DI water 100 ug 439
Bulk quote request
Western blot testing of SOCS1 antibody and Lane 1: HT1080; 2: COLO320 cell lysate. Predicted molecular weight ~ 24 kDa.
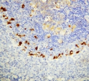
IHC-P: SOCS1 antibody testing of rat spleen tissue
Availability 1-3 business days
Species Reactivity Human, Mouse, Rat
Format Antigen affinity purified
Clonality Polyclonal (rabbit origin)
Isotype Rabbit IgG
Purity Antigen affinity
Buffer Lyophilized from 1X PBS with 2.5% BSA and 0.025% sodium azide/thimerosal
UniProt O15524
Applications Western Blot : 0.5-1ug/ml
IHC (FFPE) : 0.5-1ug/ml
Limitations This SOCS1 antibody is available for research use only.
Review this product on BioCompare and get a $20 Amazon gift card

Related Products

  • Applications : WB, IHC, IF, FACS, ELISA
    Reactivity : Human, Mouse, Rat
  • Applications : WB, ELISA (peptide)
    Reactivity : Human
  • Applications : WB, ELISA (peptide)
    Reactivity : Human, Mouse
    Pred. Reactivity : Rat, Dog, Cow
  • Applications : WB, ELISA (peptide)
    Reactivity : Human, Mouse
    Pred. Reactivity : Rat, Dog, Cow
  • Applications : WB, IHC-P
    Reactivity : Human, Mouse, Rat

Description

Suppressor of cytokine signaling 1 (SOCS1), also known as Jak-binding protein (JAB) and Tec-interacting protein 3 (TIP3), is a negative regulator to a subset of protein-tyrosine kinases. This 211-amino acid protein has a molecular mass of about 23.5 kD. The TEC-binding region of SOCS1 resides in the N terminus. SOCS1 associates with Tec and suppresses its kinase activity. The SOCS1 gene is intronless and is mapped to on chromosome 16p13.13. SOCS1 regulates the JAK/STAT signal-transduction pathway. Moreover, it contributes to protection against hepatic injury and fibrosis, and may also protect against hepatocarcinogenesis.

Application Notes

The stated application concentrations are suggested starting amounts. Titration of the SOCS1 antibody may be required due to differences in protocols and secondary/substrate sensitivity.

Immunogen

An amino acid sequence from the C-terminus of human SOCS1 (NPVLRDYLSSFPFQI) was used as the immunogen for this SOCS1 antibody (100% homologous in human, mouse and rat).

Storage

After reconstitution, the SOCS1 antibody can be stored for up to one month at 4oC. For long-term, aliquot and store at -20oC. Avoid repeated freezing and thawing.

Cross
Bulk Quote Request Form
Name*:
Organization*:
Email*:
Phone Number*:
Catalog No.*:
Comments and Specifics(amount, formulation, etc.)*:
Validation code: Captchapackage Image


Can't read the image? click here to refresh.
    *required field

Your bulk quote request has been submitted successfully!

Please contact us if you have any questions.