• Tel: 858.663.9055
  • SeparatorEmail: info@nsjbio.com
  • Tel: 858.663.9055
  • Email: info@nsjbio.com
Home >> Antibodies >> SNX5 Antibody

SNX5 Antibody (R35966)

  Catalog No Formulation Size Price (USD)  
Image R35966-100UG 0.5 mg/ml in 1X TBS, pH7.3, with 0.5% BSA (US sourced) and 0.02% sodium azide 100 ug 449
Bulk quote request
Western blot testing of Jurkat lysate with SNX5 antibody at 1ug/ml. Predicted/observed molecular weight: ~48 kDa.
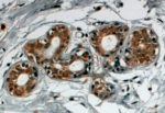
IHC staining of FFPE human breast with SNX5 antibody at 4ug/ml. HIER: steamed with pH6 citrate buffer, HRP-staining.
Availability 1-3 business days
Species Reactivity Human
Predicted Reactivity Mouse, Rat, Dog, Pig, Cow
Format Antigen affinity purified
Clonality Polyclonal (goat origin)
Isotype Goat Ig
Purity Antigen affinity
Gene ID 27131
Applications Western Blot : 1-3ug/ml
Immunohistochemistry (FFPE) : 3-6ug/ml
ELISA (peptide) LOD : 1:32000
Limitations This SNX5 antibody is available for research use only.
Review this product on BioCompare and get a $20 Amazon gift card

Related Products

  • Applications : WB, ELISA (peptide)
    Reactivity : Human
    Pred. Reactivity : Cow, Dog, Mouse, Pig, Rat
  • Applications : WB, FACS, Direct ELISA
    Reactivity : Human

Description

Additional name(s) for this target protein: Sorting nexin 5

Application Notes

Optimal dilution of the SNX5 antibody should be determined by the researcher.

Immunogen

Amino acids SLLQSCIDLFKNN were used as the immunogen for this SNX5 antibody.

Storage

Aliquot and store the SNX5 antibody at -20oC.

Cross
Bulk Quote Request Form
Name*:
Organization*:
Email*:
Phone Number*:
Catalog No.*:
Comments and Specifics(amount, formulation, etc.)*:
Validation code: Captchapackage Image


Can't read the image? click here to refresh.
    *required field

Your bulk quote request has been submitted successfully!

Please contact us if you have any questions.