• Tel: 858.663.9055
  • SeparatorEmail: info@nsjbio.com
  • Tel: 858.663.9055
  • Email: info@nsjbio.com
Home >> Antibodies >> SNX1 Antibody

SNX1 Antibody (R36236)

  Catalog No Formulation Size Price (USD)  
Image R36236-100UG 0.5 mg/ml in 1X TBS, pH7.3, with 0.5% BSA (US sourced) and 0.02% sodium azide 100 ug 449
Bulk quote request
Western blot testing of HeLa lysate with SNX1 antibody at 1ug/ml. Predicted molecular weight: ~59kDa, routinely observed at 70~78kDa.
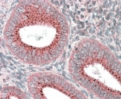
IHC staining of FFPE human uterus with SNX1 antibody. HIER: steamed with pH6 citrate buffer, AP-staining.
SNX1 antibody (5ug/ml) staining of formaldehyde-fixed SH5Y5Y cells detected with Alexa Fluor 488 in confocal microscopy.
Availability 1-3 business days
Species Reactivity Human
Predicted Reactivity Cow, Dog, Mouse, Rat
Format Antigen affinity purified
Clonality Polyclonal (goat origin)
Isotype Goat Ig
Purity Antigen affinity
Gene ID 6642
Applications Western Blot : 1-3ug/ml
Immunohistochemistry (FFPE) : 3-6ug/ml
ELISA (peptide) LOD : 1:64000
Limitations This SNX1 antibody is available for research use only.
Review this product on BioCompare and get a $20 Amazon gift card

Related Products

Description

Additional name(s) for this target protein: Sorting nexin 1

Application Notes

Optimal dilution of the SNX1 antibody should be determined by the researcher.

1. This SNX1 antibody is specific for isoforms a and c.

Immunogen

Amino acids TNSSKPQPTYEELE were used as the immunogen for this SNX1 antibody.

Storage

Aliquot and store the SNX1 antibody at -20oC.

Cross
Bulk Quote Request Form
Name*:
Organization*:
Email*:
Phone Number*:
Catalog No.*:
Comments and Specifics(amount, formulation, etc.)*:
Validation code: Captchapackage Image


Can't read the image? click here to refresh.
    *required field

Your bulk quote request has been submitted successfully!

Please contact us if you have any questions.