• Tel: 858.663.9055
  • SeparatorEmail: info@nsjbio.com
  • Tel: 858.663.9055
  • Email: info@nsjbio.com
Home >> Antibodies >> SNRPD3 Antibody / Sm-D3

SNRPD3 Antibody / Sm-D3 (F54501)

  Catalog No Formulation Size Price (USD)  
Image F54501-0.2ML In 1X PBS, pH 7.4, with 0.09% sodium azide 0.2 ml 429
Image
F54501-0.05ML In 1X PBS, pH 7.4, with 0.09% sodium azide 0.05 ml 199
Bulk quote request
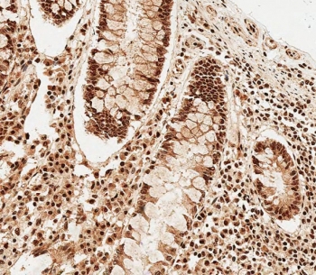
IHC testing of FFPE human colon tissue with SNRPD3 antibody. HIER: steam section in pH6 citrate buffer for 20 min and allow to cool prior to staining.
IHC testing of FFPE human brain tissue with SNRPD3 antibody. HIER: steam section in pH6 citrate buffer for 20 min and allow to cool prior to staining.
Western blot testing of human 1) HeLa, 2) MCF7, 3) HEK293, 4) Jurkat, 5) HL60, 6) mouse heart and 7) mouse NIH 3T3 lysate with SNRPD3 antibody. Predicted molecular weight ~14 kDa.
Western blot testing of human COLO-320 cell lysate with SNRPD3 antibody. Predicted molecular weight ~14 kDa.
Availability 1-3 business days
Species Reactivity Human, Mouse
Format Purified
Clonality Polyclonal (rabbit origin)
Isotype Rabbit Ig
Purity Antigen affinity purified
UniProt P62318
Localization Cytoplasmic, nuclear
Applications Immunohistochemistry (FFPE) : 1:25
Western Blot : 1:500-1:2000
Limitations This SNRPD3 antibody is available for research use only.
Review this product on BioCompare and get a $20 Amazon gift card

Related Products

Description

The protein encoded by this gene belongs to the small nuclear ribonucleoprotein core protein family. It is required for pre-mRNA splicing and small nuclear ribonucleoprotein biogenesis.

Application Notes

The stated application concentrations are suggested starting points. Titration of the SNRPD3 antibody may be required due to differences in protocols and secondary/substrate sensitivity.

Immunogen

A portion of amino acids 9-38 from the human protein was used as the immunogen for the SNRPD3 antibody.

Storage

Aliquot the SNRPD3 antibody and store frozen at -20oC or colder. Avoid repeated freeze-thaw cycles.

Cross
Bulk Quote Request Form
Name*:
Organization*:
Email*:
Phone Number*:
Catalog No.*:
Comments and Specifics(amount, formulation, etc.)*:
Validation code: Captchapackage Image


Can't read the image? click here to refresh.
    *required field

Your bulk quote request has been submitted successfully!

Please contact us if you have any questions.