• Tel: 858.663.9055
  • SeparatorEmail: info@nsjbio.com
  • Tel: 858.663.9055
  • Email: info@nsjbio.com
Home >> Antibodies >> SNAP25 Antibody

SNAP25 Antibody (RQ4609)

  Catalog No Formulation Size Price (USD)  
Image RQ4609 0.5mg/ml if reconstituted with 0.2ml sterile DI water 100 ug 439
Bulk quote request
Western blot testing of 1) human HeLa, 2) human U-87 MG, 3) rat brain and 4) mouse brain lysate with SNAP25 antibody at 0.5ug/ml. Expected molecular weight ~25 kDa.
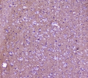
IHC staining of FFPE human glioma with SNAP25 antibody at 2ug/ml. HIER: boil tissue sections in pH6, 10mM citrate buffer, for 10-20 min followed by cooling at RT for 20 min.
IHC staining of FFPE mouse brain with SNAP25 antibody at 2ug/ml. HIER: boil tissue sections in pH6, 10mM citrate buffer, for 10-20 min followed by cooling at RT for 20 min.
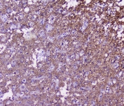
IHC staining of FFPE rat brain with SNAP25 antibody at 2ug/ml. HIER: boil tissue sections in pH6, 10mM citrate buffer, for 10-20 min followed by cooling at RT for 20 min.
IHC staining of FFPE rat brain with SNAP25 antibody at 2ug/ml. HIER: boil tissue sections in pH6, 10mM citrate buffer, for 10-20 min followed by cooling at RT for 20 min.
Flow cytometry testing of human U-2 OS cells with SNAP25 antibody at 1ug/million cells (blocked with goat sera); Red=cells alone, Green=isotype control, Blue= SNAP25 antibody.
Flow cytometry testing of human U-87 MG cells with SNAP25 antibody at 1ug/million cells (blocked with goat sera); Red=cells alone, Green=isotype control, Blue= SNAP25 antibody.
Availability 1-3 business days
Species Reactivity Human, Mouse, Rat
Format Antigen affinity purified
Clonality Polyclonal (rabbit origin)
Isotype Rabbit IgG
Purity Antigen affinity purified
Buffer Lyophilized from 1X PBS with 2% Trehalose and 0.025% sodium azide
UniProt P60880
Applications Western Blot : 0.5-1ug/ml
Immunohistochemistry (FFPE) : 2-3ug/ml
Flow Cytometry : 1-3ug/million cells
Direct ELISA : 0.1-0.5ug/ml (human recombinant protein)
Limitations This SNAP25 antibody is available for research use only.
Review this product on BioCompare and get a $20 Amazon gift card

Related Products

Description

Synaptosome-associated protein of 25,000 daltons, also known as SNAP-25, is a protein which in humans encodes a 25-kD protein of 206 amino acids. It was first investigated as a neuron-specific gene preferentially expressed in mouse hippocampus. The tSNARE (the target-membrane soluble NSF-attachment protein receptor, where NSF is N-ethylmaleimide-sensitive fusion protein) synaptosomal-associated protein of 25 kDa (SNAP-25) is expressed in pancreatic B-cells and its cleavage by botulinum neurotoxin E (BoNT/E) abolishes stimulated secretion of insulin. In the nervous system, two SNAP-25 isoforms (a and b) have been described, which are produced by alternative splicing. It is identified mammalian Snap25a and Snap25b as targets of protein kinase A, a key regulator of neurosecretion that primes slowly releasable pools and readily releasable pools of secretory vesicles. SNAP-25 inhibits P/Q- and L-type voltage-gated calcium channels located presynaptically and interacts with the synaptotagmin C2B domain in Ca2+-independent fashion. In glutamatergic synapses SNAP-25 decreases the Ca2+ responsiveness, while it is naturally absent in GABAergic synapses.

Application Notes

Optimal dilution of the SNAP25 antibody should be determined by the researcher.

Immunogen

Amino acids M1-L203 from the human protein were used as the immunogen for the SNAP25 antibody.

Storage

After reconstitution, the SNAP25 antibody can be stored for up to one month at 4oC. For long-term, aliquot and store at -20oC. Avoid repeated freezing and thawing.

Cross
Bulk Quote Request Form
Name*:
Organization*:
Email*:
Phone Number*:
Catalog No.*:
Comments and Specifics(amount, formulation, etc.)*:
Validation code: Captchapackage Image


Can't read the image? click here to refresh.
    *required field

Your bulk quote request has been submitted successfully!

Please contact us if you have any questions.