• Tel: 858.663.9055
  • SeparatorEmail: info@nsjbio.com
  • Tel: 858.663.9055
  • Email: info@nsjbio.com
Home >> Antibodies >> SNAP25 Antibody

SNAP25 Antibody (R33407)

  Catalog No Formulation Size Price (USD)  
Image R33407-100UG 0.5 mg/ml in 1X TBS, pH7.3, with 0.5% BSA (US sourced) and 0.02% sodium azide 100 ug 449
Bulk quote request
Western blot testing of mouse brain lysate with SNAP25 antibody at 0.03ug/ml. Expected molecular weight: ~25 kDa.
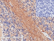
IHC staining of FFPE human cerebellum tissue with (left) and without (right) SNAP25 antibody at 1ug/ml. HIER: steamed with pH6 citrate buffer, HRP-staining.
Western blot testing of 1) human cerebellum and 2) mouse brain lysate with SNAP25 antibody at 0.03ug/ml. Expected molecular weight: ~25 kDa.
Availability 1-3 business days
Species Reactivity Human, Mouse
Predicted Reactivity Rat, Dog
Format Antigen affinity purified
Clonality Polyclonal (goat origin)
Isotype Goat Ig
Purity Antigen affinity
Gene ID 6616
Localization Cell membrane
Applications Western Blot : 0.01-0.03ug/ml
Immunohistochemistry (FFPE) : 2-4ug/ml
ELISA (peptide) LOD : 1:32000
Limitations This SNAP25 antibody is available for research use only.
Review this product on BioCompare and get a $20 Amazon gift card

Related Products

Description

Additional name(s) for this target protein: Synaptosomal-associated protein, 25kDa

Application Notes

Optimal dilution of the SNAP25 antibody should be determined by the researcher.

Immunogen

Amino acids DEANQRATKMLGSG were used as the immunogen for this SNAP25 antibody.

Storage

Aliquot and store the SNAP25 antibody at -20oC.

Cross
Bulk Quote Request Form
Name*:
Organization*:
Email*:
Phone Number*:
Catalog No.*:
Comments and Specifics(amount, formulation, etc.)*:
Validation code: Captchapackage Image


Can't read the image? click here to refresh.
    *required field

Your bulk quote request has been submitted successfully!

Please contact us if you have any questions.