• Tel: 858.663.9055
  • SeparatorEmail: info@nsjbio.com
  • Tel: 858.663.9055
  • Email: info@nsjbio.com
Home >> Antibodies >> SNAP23 Antibody

SNAP23 Antibody (R30867)

  Catalog No Formulation Size Price (USD)  
Image R30867 0.5mg/ml if reconstituted with 0.2ml sterile DI water 100 ug 439
Bulk quote request
Western blot testing of SNAP23 antibody and Lane 1: rat spleen; 2: (r) testis; 3: (r) ovary; 4: human HeLa; 5: (h) MCF-7; 6: (h) SKOV; Expected molecular weight: ~23/18kDa (isoforms 1/2).
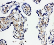
IHC-P: SNAP23 antibody testing of human placenta tissue. HIER: steamed with pH6 citrate buffer.
ICC: SNAP23 antibody testing K562 cells
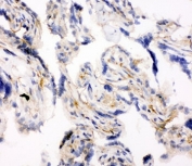
IHC-F: testing of human placenta tissue
Availability 1-3 business days
Species Reactivity Human, Mouse, Rat
Format Antigen affinity purified
Clonality Polyclonal (rabbit origin)
Isotype Rabbit IgG
Purity Antigen affinity
Buffer Lyophilized from 1X PBS with 2.5% BSA and 0.025% sodium azide/thimerosal
UniProt O00161
Applications Western Blot : 0.5-1ug/ml
IHC (FFPE) : 0.5-1ug/ml
IHC (Frozen) : 0.5-1ug/ml
Immunocytochemistry : 0.5-1ug/ml
Limitations This SNAP23 antibody is available for research use only.
Review this product on BioCompare and get a $20 Amazon gift card

Related Products

  • Applications : WB, ELISA (peptide)
    Reactivity : Human
    Pred. Reactivity : Cow, Mouse, Rat
  • Applications : WB, ELISA (peptide)
    Reactivity : Human
    Pred. Reactivity : Cow, Dog, Mouse, Rabbit, Rat
  • Applications : WB, IHC-P, IF, FACS, Direct ELISA
    Reactivity : Human

Description

Synaptosomal-Associated Protein, 23-KD is a protein that in humans is encoded by the SNAP23 gene. The gene has 8 exons, with the initiation codon located in exon 2 and is mapped on 15q15.1-q15.2. Its amino acid sequence is 59% identical to that of SNAP25. Northern blot analysis revealed that SNAP23 is ubiquitously expressed. The protein is able to bind to multiple syntaxins as well as to multiple vesicle-associated membrane proteins. After relocation, it is required for exocytosis, implying a crucial role in promoting membrane fusion. TIVAMP-containing vesicles were concentrated in the apical domain of epithelial cells. STX3A and SNAP23 were codistributed at the apical plasma membrane, where they formed N-ethyl maleimide-dependent SNARE complexes with TIVAMP and cellubrevin. It is structurally and functionally similar to SNAP25 and binds tightly to multiple syntaxins and synaptobrevins/VAMPs. It is an essential component of the high affinity receptor for the general membrane fusion machinery and is an important regulator of transport vesicle docking and fusion.

Application Notes

The stated application concentrations are suggested starting amounts. Titration of the SNAP23 antibody may be required due to differences in protocols and secondary/substrate sensitivity.

Immunogen

An amino acid sequence from the C-terminus of human SNAP23 (DTNRDRIDIANARAKKLIDS) was used as the immunogen for this SNAP23 antibody. This sequence is common to isoforms 1 and 2.

Storage

After reconstitution, the SNAP23 antibody can be stored for up to one month at 4oC. For long-term, aliquot and store at -20oC. Avoid repeated freezing and thawing.

Cross
Bulk Quote Request Form
Name*:
Organization*:
Email*:
Phone Number*:
Catalog No.*:
Comments and Specifics(amount, formulation, etc.)*:
Validation code: Captchapackage Image


Can't read the image? click here to refresh.
    *required field

Your bulk quote request has been submitted successfully!

Please contact us if you have any questions.