• Tel: 858.663.9055
  • SeparatorEmail: info@nsjbio.com
  • Tel: 858.663.9055
  • Email: info@nsjbio.com
Home >> Antibodies >> Smooth Muscle Actin Antibody

Smooth Muscle Actin Antibody [clone rACTA2/1625] (V9287)

  Catalog No Formulation Size Price (USD)  
Image V9287-100UG 0.2 mg/ml in 1X PBS with 0.1 mg/ml BSA (US sourced), 0.05% sodium azide 100 ug 539
Image
V9287-20UG 0.2 mg/ml in 1X PBS with 0.1 mg/ml BSA (US sourced), 0.05% sodium azide 20 249
Image
V9287SAF-100UG 1 mg/ml in 1X PBS; BSA free, sodium azide free 100 539
Microvalidated Recmousemono
Bulk quote request
IHC staining of FFPE human uterus tissue with Smooth Muscle Actin (clone rACTA2/1625). HIER: boil tissue sections in pH 9 10mM Tris with 1mM EDTA for 20 min and allow to cool before testing.
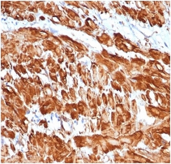
IHC staining of FFPE human skeletal muscle with Smooth Muscle Actin antibody (clone rACTA2/1625). HIER: boil tissue sections in pH 9 10mM Tris with 1mM EDTA for 20 min and allow to cool before testing.
SDS-PAGE analysis of purified, BSA-free Smooth Muscle Actin antibody (rACTA2/1625) as confirmation of integrity and purity.
Availability 1-3 business days
Species Reactivity Human (broad species reactivity predicted)
Format Purified
Clonality Recombinant Mouse Monoclonal
Isotype Mouse IgG1, kappa
Clone Name rACTA2/1625
Purity Protein A/G affinity
UniProt P62736
Localization Cytoplasm
Applications Immunohistochemistry (FFPE) : 1-2ug/ml
Limitations This Smooth Muscle Actin antibody is available for research use only.
Review this product on BioCompare and get a $20 Amazon gift card

Related Products

Description

Actin is a major component of the cytoskeleton and is present in most cell types. It is highly specific to actin from smooth muscles. This MAb does not stain cardiac or skeletal muscle; however, it does stain myofibroblasts and myoepithelial cells. This antibody could be used together with anti-muscle specific actin and myogenin in making a diagnosis of smooth muscle and skeletal muscle tumors. In most cases of rhabdomyosarcoma, this antibody yields negative results whereas anti-muscle specific actin and myogenin are positive. Leiomyosarcomas are positive only with anti-muscle specific actin and anti-smooth muscle actin and are negative with anti-myogenin.

Application Notes

Optimal dilution of the Smooth Muscle Actin antibody should be determined by the researcher.

Immunogen

N-Terminal decapeptide of alpha smooth muscle isoform of actin was used as the immunogen for the Smooth Muscle Actin antibody.

Storage

Aliquot the Smooth Muscle Actin antibody and store frozen at -20oC or colder. Avoid repeated freeze-thaw cycles.

Cross
Bulk Quote Request Form
Name*:
Organization*:
Email*:
Phone Number*:
Catalog No.*:
Comments and Specifics(amount, formulation, etc.)*:
Validation code: Captchapackage Image


Can't read the image? click here to refresh.
    *required field

Your bulk quote request has been submitted successfully!

Please contact us if you have any questions.