• Tel: 858.663.9055
  • SeparatorEmail: info@nsjbio.com
  • Tel: 858.663.9055
  • Email: info@nsjbio.com
Home >> Antibodies >> SMARCB1 Antibody / Integrase interactor 1 / INI1 / BAF47

SMARCB1 Antibody / Integrase interactor 1 / INI1 / BAF47 [clone rSMARCB1/4588] (V9581)

  Catalog No Formulation Size Price (USD)  
Image V9581-100UG 0.2 mg/ml in 1X PBS with 0.1 mg/ml BSA (US sourced), 0.05% sodium azide 100 ug 539
Image
V9581-20UG 0.2 mg/ml in 1X PBS with 0.1 mg/ml BSA (US sourced), 0.05% sodium azide 20 ug 249
Image
V9581SAF-100UG 1 mg/ml in 1X PBS; BSA free, sodium azide free 100 ug 539
Microvalidated Recmousemono
Bulk quote request
IHC staining of FFPE human Ewing sarcoma with SMARCB1 antibody (clone rSMARCB1/4588). HIER: boil tissue sections in pH 9 10mM Tris with 1mM EDTA for 20 min and allow to cool before testing.
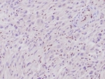
IHC staining of FFPE human epithelioid sarcoma tissue with SMARCB1 antibody (clone rSMARCB1/4588). Note loss of nuclear expression in tumor cells and retained positivity in normal cells. HIER: boil tissue sections in pH 9 10mM Tris with 1mM EDTA for 20 min and allow to cool before testing.
Availability 1-3 business days
Species Reactivity Human
Format Purified
Clonality Recombinant Mouse Monoclonal
Isotype Mouse IgG1, kappa
Clone Name rSMARCB1/4588
Purity Protein A/G affinity
UniProt Q12824
Localization Nucleus
Applications Immunohistochemistry (FFPE) : 1-2ug/ml
Limitations This SMARCB1 antibody is available for research use only.
Review this product on BioCompare and get a $20 Amazon gift card

Related Products

Description

The SMARCB1 gene, which encodes a functionally uncharacterized protein component of the hSWI/SNF chromatin remodeling complex, is often mutated or deleted in malignant rhabdoid tumor (MRT). Two isoforms of INI-1, that differ by the variable inclusion of amino acids, potentially are produced by differential RNA splicing. The morphology of MRTs can present challenges in differential diagnosis. The overall survival of MRTs relative to its potential mimics (medulloblastoma, supratentorial primitive neuroectodermal tumors (sPNETs) is quite low, and thus differentiation from these other tumors is desirable. Lack of nuclear labeling by anti-INI-1 is characteristic of MRT. The majority of medulloblastomas and sPNETs are labeled by anti-INI-1. MRTs also originate from the kidney and soft tissues.

Application Notes

Optimal dilution of the SMARCB1 antibody should be determined by the researcher.

Immunogen

A portion of amino acids 257-359 was used as the immunogen for the SMARCB1 antibody.

Storage

Aliquot the SMARCB1 antibody and store frozen at -20oC or colder. Avoid repeated freeze-thaw cycles.

Cross
Bulk Quote Request Form
Name*:
Organization*:
Email*:
Phone Number*:
Catalog No.*:
Comments and Specifics(amount, formulation, etc.)*:
Validation code: Captchapackage Image


Can't read the image? click here to refresh.
    *required field

Your bulk quote request has been submitted successfully!

Please contact us if you have any questions.