• Tel: 858.663.9055
  • SeparatorEmail: info@nsjbio.com
  • Tel: 858.663.9055
  • Email: info@nsjbio.com
Home >> Antibodies >> SMARCB1 Antibody / BAF47 / INI1

SMARCB1 Antibody / BAF47 / INI1 (RQ7619)

  Catalog No Formulation Size Price (USD)  
Image RQ7619 0.5mg/ml if reconstituted with 0.2ml sterile DI water 100 ug 439
Bulk quote request
Flow cytometry testing of rat C6 cells with SMARCB1 antibody at 1ug/million cells (blocked with goat sera); Red=cells alone, Green=isotype control, Blue= SMARCB1 antibody.
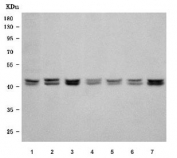
Western blot testing of 1) human HeLa, 2) human 293T, 3) human K562, 4) human HepG2, 5) monkey COS7, 6) human Jurkat and 7) rat C6 cell lysate with SMARCB1 antibody. Predicted molecular weight: 43-44 kDa (two isoforms).
Availability 1-3 business days
Species Reactivity Human, Rat, Monkey
Format Antigen affinity purified
Clonality Polyclonal (rabbit origin)
Isotype Rabbit IgG
Purity Antigen affinity purified
Buffer Lyophilized from 1X PBS with 2% Trehalose
UniProt Q12824
Applications Western Blot : 0.5-1ug/ml
Flow Cytometry : 1-3ug/million cells
Direct ELISA : 0.1-0.5ug/ml
Limitations This SMARCB1 antibody is available for research use only.
Review this product on BioCompare and get a $20 Amazon gift card

Related Products

Description

SMARCB1 (SWI/SNF-related matrix-associated actin-dependent regulator of chromatin subfamily B member 1), also known as SNF5, INI1 or MALIGNANT RHABDOID TUMOR SUPPRESSOR, is a protein that in humans is encoded by the SMARCB1 gene. The SMARCB1 gene encodes a subunit of the SWI/SNF ATP-dependent chromatin-remodeling complex. The SMARCB1 gene maps to chromosome 22q11.2(Versteege et al., 1998). Wu et al.(2002) noted that GADD34(PPP1R15A) and SNF5 can coexist in a trimeric complex with chimeric leukemic HRX(MLL) fusion proteins, leading to inhibition of GADD34-mediated apoptosis. By mutation analysis, they showed that the GADD34 region homologous to the HSV-1 ICP34.5 protein was necessary for interaction with SNF5. SNF5 could bind independently with the protein phosphatase-1(PP1) catalytic subunit(PPP1CA) and stimulate its activity in solution and in complex with GADD34. SNF5 and PP1 did not compete for GADD34 binding, but rather formed a stable trimeric complex with GADD34. Wu et al.(2002) proposed that GADD34 mediates growth suppression, at least in part, through its interaction with SNF5. They suggested that SNF5 may function as a regulatory subunit of PP1, either independently or together with GADD34.

Application Notes

Optimal dilution of the SMARCB1 antibody should be determined by the researcher.

Immunogen

E. coli-derived recombinant human protein (amino acids E105-D358) was used as the immunogen for the SMARCB1 antibody.

Storage

After reconstitution, the SMARCB1 antibody can be stored for up to one month at 4oC. For long-term, aliquot and store at -20oC. Avoid repeated freezing and thawing.

Cross
Bulk Quote Request Form
Name*:
Organization*:
Email*:
Phone Number*:
Catalog No.*:
Comments and Specifics(amount, formulation, etc.)*:
Validation code: Captchapackage Image


Can't read the image? click here to refresh.
    *required field

Your bulk quote request has been submitted successfully!

Please contact us if you have any questions.