• Tel: 858.663.9055
  • SeparatorEmail: info@nsjbio.com
  • Tel: 858.663.9055
  • Email: info@nsjbio.com
Home >> Antibodies >> SMARCAL1 Antibody

SMARCAL1 Antibody [clone PCRP-SMARCAL1-1C4] (V4941)

  Catalog No Formulation Size Price (USD)  
Image V4941-100UG 0.2 mg/ml in 1X PBS with 0.1 mg/ml BSA (US sourced), 0.05% sodium azide 100 ug 539
Image
V4941-20UG 0.2 mg/ml in 1X PBS with 0.1 mg/ml BSA (US sourced), 0.05% sodium azide 20 ug 249
Image
V4941SAF-100UG 1 mg/ml in 1X PBS; BSA free, sodium azide free 100 ug 539
Microvalidated
Bulk quote request
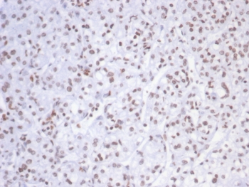
IHC staining of FFPE human kidney carcinoma tissue with SMARCAL1 antibody (clone PCRP-SMARCAL1-1C4). HIER: boil tissue sections in pH 9 10mM Tris with 1mM EDTA for 20 min and allow to cool before testing.
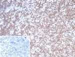
IHC staining of FFPE human tonsil tissue with SMARCAL1 antibody (clone PCRP-SMARCAL1-1C4). Inset: PBS used in place of primary Ab (secondary Ab negative control). HIER: boil tissue sections in pH 9 10mM Tris with 1mM EDTA for 20 min and allow to cool before testing.
Analysis of a HuProt(TM) microarray containing more than 19,000 full-length human proteins using SMARCAL1 antibody (clone PCRP-SMARCAL1-1C4) Z- and S- Score: The Z-score represents the strength of a signal that a monoclonal antibody (in combination with a fluorescently-tagged anti-IgG secondary antibody) produces when binding to a particular protein on the HuProt(TM) array. Z-scores are described in units of standard deviations (SD's) above the mean value of all signals generated on that array. If targets on HuProt(TM) are arranged in descending order of the Z-score, the S-score is the difference (also in units of SD's) between the Z-score. S-score therefore represents the relative target specificity of a mAb to its intended target. A mAb is considered to specific to its intended target, if the mAb has an S-score of at least 2.5. For example, if a mAb binds to protein X with a Z-score of 43 and to protein Y with a Z-score of 14, then the S-score for the binding of that mAb to protein X is equal to 29.
Availability 1-3 business days
Species Reactivity Human
Format Purified
Clonality Monoclonal (mouse origin)
Isotype Mouse IgG2c, kappa
Clone Name PCRP-SMARCAL1-1C4
Purity Protein A/G affinity
UniProt Q9NZC9
Localization Nucleus
Applications Immunohistochemistry (FFPE) : 1-2ug/ml for 30 min at RT
Limitations This SMARCAL1 antibody is available for research use only.
Review this product on BioCompare and get a $20 Amazon gift card

Description

SmarcAL1 (SWI/SNF-related matrix-associated Actin-dependent regulator of chromatin subfamily A-like protein 1), also known as HARP (hepA-related protein) or HHARP, is a 954 amino acid member of the SWI/SNF family of helicase and ATPase proteins. Localized to the nucleus, SmarcAL1 is a ubiquitously expressed protein that functions in ATP-dependent nucleosomeremodeling activities. SmarcAL1 contains one conserved C-terminal SNF2 domain, one helicase ATP-binding domain and two HARP domains. Defects in the gene encoding SmarcAL1 are the cause of Schimke immuno-osseous dysplasia (SIOD), an autosomal recessive disorder characterized by renal dysfunction, spondyloepiphyseal dysplasia and T cell immunodeficiency.

Application Notes

Optimal dilution of the SMARCAL1 antibody should be determined by the researcher.

Immunogen

Recombinant full-length human SMARCAL1 protein was used as the immunogen for the SMARCAL1 antibody.

Storage

Aliquot the SMARCAL1 antibody and store frozen at -20oC or colder. Avoid repeated freeze-thaw cycles.

Cross
Bulk Quote Request Form
Name*:
Organization*:
Email*:
Phone Number*:
Catalog No.*:
Comments and Specifics(amount, formulation, etc.)*:
Validation code: Captchapackage Image


Can't read the image? click here to refresh.
    *required field

Your bulk quote request has been submitted successfully!

Please contact us if you have any questions.