- Tel: 858.663.9055
- 
									 Email: info@nsjbio.com Email: info@nsjbio.com
- Tel: 858.663.9055
- Email: info@nsjbio.com
 Email: info@nsjbio.com
Email: info@nsjbio.com
								Related Products
| 
 | 
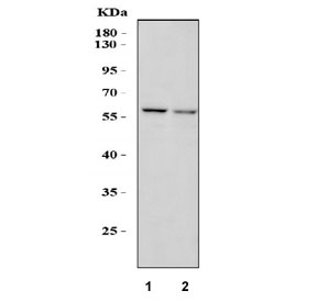
Mothers against decapentaplegic homolog 5 also known as SMAD5 is a protein that in humans is encoded by the SMAD5 gene. It is mapped to 5q31.1. The protein encoded by this gene is involved in the transforming growth factor beta signaling pathway that results in an inhibition of the proliferation of hematopoietic progenitor cells. The encoded protein is activated by bone morphogenetic proteins type 1 receptor kinase, and may be involved in cancer. Alternative splicing results in multiple transcript variants.
Optimal dilution of the SMAD5 antibody should be determined by the researcher.
Amino acids QNATFPDSFHQPNNTPFPLSPN from the human protein were used as the immunogen for the SMAD5 antibody.
After reconstitution, the SMAD5 antibody can be stored for up to one month at 4oC. For long-term, aliquot and store at -20oC. Avoid repeated freezing and thawing.
 
Your bulk quote request has been submitted successfully!
Please contact us if you have any questions.