- Tel: 858.663.9055
- 
									 Email: info@nsjbio.com Email: info@nsjbio.com
- Tel: 858.663.9055
- Email: info@nsjbio.com
 Email: info@nsjbio.com
Email: info@nsjbio.com
								Related Products
| 
 | 
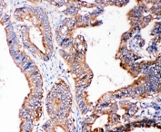
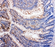
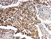
Mother against decapentaplegic homolog 5, also called SMAD family member 5, is a protein that in humans is encoded by the SAMD5 gene. It belongs to the SMAD family of proteins, which belong to the TGFbeta superfamily of modulators. The gene was assigned to human chromosome 5q31. Like many other TGFbeta family members SMAD5 is involved in cell signalling and modulates signals of bone morphogenetic proteins(BMP's). It may play a role in the pathway where TGFbeta is an inhibitor of hematopoietic progenitor cells.
The stated application concentrations are suggested starting amounts. Titration of the SMAD5 antibody may be required due to differences in protocols and secondary/substrate sensitivity.
An amino acid sequence from the middle region of human SMAD family member 5 (IPQIMPSISSRDVQPVAYEE) was used as the immunogen for this SMAD5 antibody (100% rat homology).
After reconstitution, the SMAD5 antibody can be stored for up to one month at 4oC. For long-term, aliquot and store at -20oC. Avoid repeated freezing and thawing.
 
Your bulk quote request has been submitted successfully!
Please contact us if you have any questions.