- Tel: 858.663.9055
- 
									 Email: info@nsjbio.com Email: info@nsjbio.com
- Tel: 858.663.9055
- Email: info@nsjbio.com
 Email: info@nsjbio.com
Email: info@nsjbio.com
								Related Products
| 
 | 
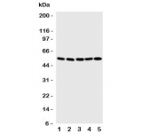
Transcriptional modulator activated by BMP (bone morphogenetic proteins) type 1 receptor kinase. SMAD5 is a receptor-regulated SMAD (R-SMAD).
Titration of the SMAD5 antibody may be required due to differences in protocols and secondary/substrate sensitivity.
A portion of amino acids 241-269 from the human protein was used as the immunogen for this SMAD5 antibody.
Aliquot the SMAD5 antibody and store frozen at -20oC or colder. Avoid repeated freeze-thaw cycles.
 
Your bulk quote request has been submitted successfully!
Please contact us if you have any questions.