• Tel: 858.663.9055
  • SeparatorEmail: info@nsjbio.com
  • Tel: 858.663.9055
  • Email: info@nsjbio.com
Home >> Antibodies >> SMAD4 Antibody

SMAD4 Antibody [clone SMAD4/7905R] (V4568)

  Catalog No Formulation Size Price (USD)  
Image V4568-100UG 0.2 mg/ml in 1X PBS with 0.1 mg/ml BSA (US sourced), 0.05% sodium azide 100 ug 539
Image
V4568-20UG 0.2 mg/ml in 1X PBS with 0.1 mg/ml BSA (US sourced), 0.05% sodium azide 20 ug 249
Image
V4568SAF-100UG 1 mg/ml in 1X PBS; BSA free, sodium azide free 100 ug 539
Microvalidated Recrabbitmono
Bulk quote request
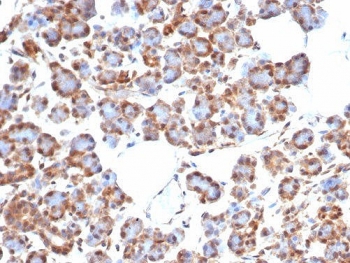
IHC staining of FFPE human salivary gland tissue with SMAD4 / DPC4 antibody (clone SMAD4/7905R). HIER: boil tissue sections in pH 9 10mM Tris with 1mM EDTA for 20 min and allow to cool before testing.
Availability 1-3 business days
Species Reactivity Human
Format Purified
Clonality Recombinant Rabbit Monoclonal
Isotype Rabbit IgG, kappa
Clone Name SMAD4/7905R
Purity Protein A/G affinity
UniProt Q13485
Localization Nucleus, Cytoplasm
Applications Immunohistochemistry (FFPE) : 1-2ug/ml for 30 min at RT
Limitations This SMAD4 antibody is available for research use only.
Review this product on BioCompare and get a $20 Amazon gift card

Related Products

Description

SMAD4 is implicated as a tumor suppressor since it is inactivated in more than half of pancreatic carcinomas and to a lesser extent in a variety of other cancers. The lack of SMAD4 expression is present in approximately 80% of cases of pancreatic adenocarcinoma, but rarely in endometrial (0%), colorectal (0%), ovarian (3%), lung (0%), breast (2%) adenocarcinomas, and malignant melanoma (4%). SMAD4is an important marker for confirming a diagnosis of pancreatic adenocarcinoma.

Application Notes

Optimal dilution of the SMAD4 antibody should be determined by the researcher.

Immunogen

A recombinant partial protein sequence (within amino acids 400-552) from the human protein was used as the immunogen for the SMAD4 antibody.

Storage

Aliquot the SMAD4 antibody and store frozen at -20oC or colder. Avoid repeated freeze-thaw cycles.

Cross
Bulk Quote Request Form
Name*:
Organization*:
Email*:
Phone Number*:
Catalog No.*:
Comments and Specifics(amount, formulation, etc.)*:
Validation code: Captchapackage Image


Can't read the image? click here to refresh.
    *required field

Your bulk quote request has been submitted successfully!

Please contact us if you have any questions.