• Tel: 858.663.9055
  • SeparatorEmail: info@nsjbio.com
  • Tel: 858.663.9055
  • Email: info@nsjbio.com
Home >> Antibodies >> Slc44a2 Antibody / Ctl2

Slc44a2 Antibody / Ctl2 (RQ6438)

  Catalog No Formulation Size Price (USD)  
Image RQ6438 0.5mg/ml if reconstituted with 0.2ml sterile DI water 100 ug 439
Bulk quote request
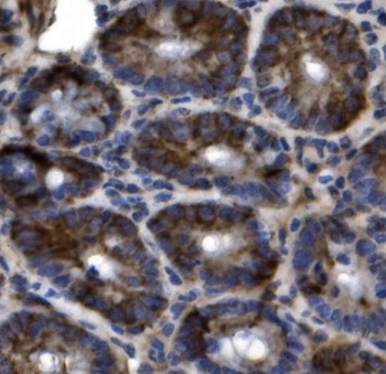
IHC staining of FFPE mouse intestine tissue with Slc44a2 antibody. HIER: boil tissue sections in pH8 EDTA for 20 min and allow to cool before testing.
Western blot testing of mouse lung tissue lysate with Slc44a2 antibody. Predicted molecular weight ~80 kDa.
Flow cytometry testing of mouse HEPA1-6 cells with Slc44a2 antibody at 1ug/million cells (blocked with goat sera); Red=cells alone, Green=isotype control, Blue= Slc44a2 antibody.
Availability 1-3 business days
Species Reactivity Mouse, Rat
Format Purified
Clonality Polyclonal (rabbit origin)
Isotype Rabbit IgG
Purity Antigen affinity purified
Buffer Lyophilized from 1X PBS with 2% Trehalose
UniProt Q8BY89
Applications Western Blot : 0.5-1ug/ml
Immunohistochemistry (FFPE) : 2-5ug/ml
Flow Cytometry : 1-3ug/million cells
Direct ELISA : 0.1-0.5ug/ml
Limitations This Slc44a2 antibody is available for research use only.
Review this product on BioCompare and get a $20 Amazon gift card

Description

Choline transporter-like protein 2 is a protein that in humans is encoded by the SLC44A2 gene. CTL2 is a multi-pass membrane protein expressed in cells of the inner ear. CTL2 is a possible candidate for autoimmune hearing loss in humans. Present in supporting cells of the inner ear (at protein level). Only isoform 3 is expressed in inner ear vestibular tissue.

Application Notes

Optimal dilution of the Slc44a2 antibody should be determined by the researcher.

Immunogen

Recombinant mouse protein (amino acids M1-S706) was used as the immunogen for the Slc44a2 antibody.

Storage

After reconstitution, the Slc44a2 antibody can be stored for up to one month at 4oC. For long-term, aliquot and store at -20oC. Avoid repeated freezing and thawing.

Cross
Bulk Quote Request Form
Name*:
Organization*:
Email*:
Phone Number*:
Catalog No.*:
Comments and Specifics(amount, formulation, etc.)*:
Validation code: Captchapackage Image


Can't read the image? click here to refresh.
    *required field

Your bulk quote request has been submitted successfully!

Please contact us if you have any questions.