• Tel: 858.663.9055
  • SeparatorEmail: info@nsjbio.com
  • Tel: 858.663.9055
  • Email: info@nsjbio.com
Home >> Antibodies >> SLC22A7 Antibody / OAT2

SLC22A7 Antibody / OAT2 (RQ7201)

  Catalog No Formulation Size Price (USD)  
Image RQ7201 0.5mg/ml if reconstituted with 0.2ml sterile DI water 100 ug 439
Bulk quote request
IHC staining of FFPE human liver cancer tissue with SLC22A7 antibody. HIER: boil tissue sections in pH8 EDTA for 20 min and allow to cool before testing.
IHC staining of FFPE mouse kidney tissue with SLC22A7 antibody. HIER: boil tissue sections in pH8 EDTA for 20 min and allow to cool before testing.
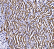
IHC staining of FFPE rat kidney tissue with SLC22A7 antibody. HIER: boil tissue sections in pH8 EDTA for 20 min and allow to cool before testing.
Western blot testing of 1) human HCCT, 2) rat liver, 3) rat kidney, 4) mouse liver and 5) mouse kidney tissue lysate with SLC22A7 antibody. Predicted molecular weight ~60 kDa.
Flow cytometry testing of human HepG2 cells with SLC22A7 antibody at 1ug/million cells (blocked with goat sera); Red=cells alone, Green=isotype control, Blue= SLC22A7 antibody.
Availability 1-3 business days
Species Reactivity Human, Mouse, Rat
Format Antigen affinity purified
Clonality Polyclonal (rabbit origin)
Isotype Rabbit IgG
Purity Antigen affinity purified
Buffer Lyophilized from 1X PBS with 2% Trehalose
UniProt Q9Y694
Applications Western Blot : 0.5-1ug/ml
Immunohistochemistry (FFPE) : 2-5ug/ml
Flow Cytometry : 1-3ug/million cells
Direct ELISA : 0.1-0.5ug/ml
Limitations This SLC22A7 antibody is available for research use only.
Review this product on BioCompare and get a $20 Amazon gift card

Description

Solute carrier family 22 member 7, also called SLC22A7 or OAT2 is a protein that in humans is encoded by the SLC22A7 gene. This gene is mapped to 6p21.1. The protein encoded by this gene is involved in the sodium-independent transport and excretion of organic anions, some of which are potentially toxic. The encoded protein is an integral membrane protein and appears to be localized to the basolateral membrane of the kidney. This gene transports prostaglandin E2, prostaglandin F2, tetracycline, bumetanide, estrone sulfate, glutarate, dehydroepiandrosterone sulfate, allopurinol, 5-fluorouracil, paclitaxel, L-ascorbic acid, salicylate, ethotrexate, and alpha-ketoglutarate.

Application Notes

Optimal dilution of the SLC22A7 antibody should be determined by the researcher.

Immunogen

Recombinant human protein (amino acids L33-N548) was used as the immunogen for the SLC22A7 antibody.

Storage

After reconstitution, the SLC22A7 antibody can be stored for up to one month at 4oC. For long-term, aliquot and store at -20oC. Avoid repeated freezing and thawing.

Cross
Bulk Quote Request Form
Name*:
Organization*:
Email*:
Phone Number*:
Catalog No.*:
Comments and Specifics(amount, formulation, etc.)*:
Validation code: Captchapackage Image


Can't read the image? click here to refresh.
    *required field

Your bulk quote request has been submitted successfully!

Please contact us if you have any questions.