- Tel: 858.663.9055
- 
									 Email: info@nsjbio.com Email: info@nsjbio.com
- Tel: 858.663.9055
- Email: info@nsjbio.com
 Email: info@nsjbio.com
Email: info@nsjbio.com
								Related Products
| 
 | 
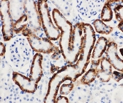
Solute carrier family 22 (organic anion transporter), member 6, also called OAT1 or PAHT, is a protein that in humans is encoded by the SLC22A6 gene, which is also a member of the organic anion transporter (OAT) family of proteins. It is a transmembrane protein that is expressed in the brain, the placenta, the eyes, smooth muscles, and the basolateral membrane of proximal tubular cells of the kidneys. It plays a central role in renal organic anion transport. Along with OAT3, OAT1/SLC22A6 mediates the uptake of a wide range of relatively small and hydrophilic organic anions from plasma into the cytoplasm of the proximal tubular cells of the kidneys. The protein functions as organic anion exchanger. When the uptake of one molecule of an organic anion is transported into a cell by an SLC22A6 exchanger, one molecule of an endogenous dicarboxylic acid(such as glutarate, ketoglutarate, etc) is simultaneously transported out of the cell.
The stated application concentrations are suggested starting amounts. Titration of the SLC22A6 antibody may be required due to differences in protocols and secondary/substrate sensitivity.
Amino acids 534-550 (QKYMVPLQASAQEKNGL-human) were used as the immunogen for this SLC22A6 antibody.
After reconstitution, the SLC22A6 antibody can be stored for up to one month at 4oC. For long-term, aliquot and store at -20oC. Avoid repeated freezing and thawing.
 
Your bulk quote request has been submitted successfully!
Please contact us if you have any questions.