• Tel: 858.663.9055
  • SeparatorEmail: info@nsjbio.com
  • Tel: 858.663.9055
  • Email: info@nsjbio.com
Home >> Antibodies >> SLC22A16 Antibody

SLC22A16 Antibody (R36441)

  Catalog No Formulation Size Price (USD)  
Image R36441-100UG 0.5 mg/ml in 1X TBS, pH7.3, with 0.5% BSA (US sourced) and 0.02% sodium azide 100 ug 449
Bulk quote request
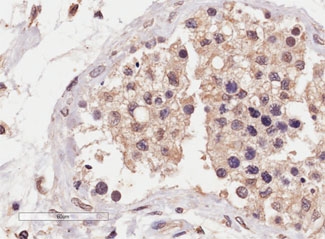
IHC testing of FFPE human testis tissue with SLC22A16 antibody at 4ug/ml. HIER: steamed with pH9 Tris/EDTA buffer, HRP-staining. Membranous staining of the seminiferous tubules is seen.
Availability 1-3 business days
Species Reactivity Human
Format Antigen affinity purified
Clonality Polyclonal (goat origin)
Isotype Goat Ig
Purity Antigen affinity
Gene ID 85413
Localization Cytoplasmic, membranous
Applications IHC (FFPE) : 4-8ug/ml
Limitations This SLC22A16 antibody is available for research use only.
Review this product on BioCompare and get a $20 Amazon gift card

Description

Additional name(s) for this target protein: Solute carrier family 22 member 16; FLIPT2; fly-like putative organic ion transporter 2; OCT6; organic cation transporter 6

Application Notes

Optimal dilution of the SLC22A16 antibody should be determined by the researcher.

Immunogen

Amino acids CSRNKRENTSSL were used as the immunogen for this SLC22A16 antibody.

Storage

Aliquot and store the SLC22A16 antibody at -20oC.

Cross
Bulk Quote Request Form
Name*:
Organization*:
Email*:
Phone Number*:
Catalog No.*:
Comments and Specifics(amount, formulation, etc.)*:
Validation code: Captchapackage Image


Can't read the image? click here to refresh.
    *required field

Your bulk quote request has been submitted successfully!

Please contact us if you have any questions.