• Tel: 858.663.9055
  • SeparatorEmail: info@nsjbio.com
  • Tel: 858.663.9055
  • Email: info@nsjbio.com
Home >> Antibodies >> SLC12A6 Antibody

SLC12A6 Antibody (R36043)

  Catalog No Formulation Size Price (USD)  
Image R36043-100UG 0.5 mg/ml in 1X TBS, pH7.3, with 0.5% BSA (US sourced) and 0.02% sodium azide 100 ug 449
Bulk quote request
Western blot testing of human heart lysate with SLC12A6 antibody at 0.1ug/ml. Predicted molecular weight: ~120~126kDa (isoforms 1-6).
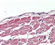
IHC staining of FFPE human heart with SLC12A6 antibody at 2.5ug/ml. HIER: steamed with pH6 citrate buffer, AP-staining.
Availability 1-3 business days
Species Reactivity Human
Format Antigen affinity purified
Clonality Polyclonal (goat origin)
Isotype Goat Ig
Purity Antigen affinity
Gene ID 9990
Applications Western Blot : 0.1-0.3ug/ml
Immunohistochemistry (FFPE) : 2-4ug/ml
ELISA (peptide) LOD : 1:16000
Limitations This SLC12A6 antibody is available for research use only.
Review this product on BioCompare and get a $20 Amazon gift card

Related Products

  • Applications : WB, IHC-P
    Reactivity : Human, Mouse, Rat
  • Applications : WB, IHC, ELISA (peptide)
    Reactivity : Human

Description

Additional name(s) for this target protein: Solute carrier family 12 (potassium/chloride transporters), member 6; KCC3; potassium chloride cotransporter 3

Application Notes

Optimal dilution of the SLC12A6 antibody should be determined by the researcher.

Immunogen

Amino acids SRHIDVCSKTKE were used as the immunogen for this SLC12A6 antibody. This sequence is common to isoforms 1-6.

Storage

Aliquot and store the SLC12A6 antibody at -20oC.

Cross
Bulk Quote Request Form
Name*:
Organization*:
Email*:
Phone Number*:
Catalog No.*:
Comments and Specifics(amount, formulation, etc.)*:
Validation code: Captchapackage Image


Can't read the image? click here to refresh.
    *required field

Your bulk quote request has been submitted successfully!

Please contact us if you have any questions.