• Tel: 858.663.9055
  • SeparatorEmail: info@nsjbio.com
  • Tel: 858.663.9055
  • Email: info@nsjbio.com
Home >> Antibodies >> SLC12A6 Antibody

SLC12A6 Antibody (R31292)

  Catalog No Formulation Size Price (USD)  
Image R31292 0.5mg/ml if reconstituted with 0.2ml sterile DI water 100 ug 439
Bulk quote request
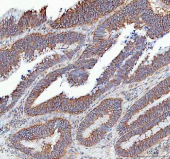
IHC staining of FFPE human colorectal adenocarcinoma tissue with SLC12A6 antibody. HIER: boil tissue sections in pH8 EDTA for 20 min and allow to cool before testing.
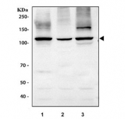
Western blot testing of 1) rat brain, 2) rat C6 and 3) mouse brain tissue lysate with SLC12A6 antibody. Expected molecular weight ~128 kDa.
Availability 1-3 business days
Species Reactivity Human, Mouse, Rat
Format Antigen affinity purified
Clonality Polyclonal (rabbit origin)
Isotype Rabbit IgG
Purity Antigen affinity
Buffer Lyophilized from 1X PBS with 2% Trehalose
UniProt Q9UHW9
Applications Western Blot : 0.5-1ug/ml
Immunohistochemistry (FFPE) : 2-5ug/ml
Limitations This SLC12A6 antibody is available for research use only.
Review this product on BioCompare and get a $20 Amazon gift card

Related Products

  • Applications : WB, IHC, ELISA (peptide)
    Reactivity : Human
  • Applications : WB, IHC, ELISA (peptide)
    Reactivity : Human

Description

Solute carrier family 12 (potassium/chloride transporters) member 6, also called KCC3, is a protein that in humans is encoded by the SLC12A6 gene. This gene is a member of the K-Cl cotransporter(KCC) family. K-Cl cotransporters are integral membrane proteins that lower intracellular chloride concentrations below the electrochemical equilibrium potential. By radiation hybrid and somatic cell hybrid analyses, this gene is mapped to 15q14. The proteins encoded by this gene are activated by cell swelling induced by hypotonic conditions. Mutations in this gene are associated with agenesis of the corpus callosum with peripheral neuropathy.

Application Notes

The stated application concentrations are suggested starting amounts. Titration of the SLC12A6 antibody may be required due to differences in protocols and secondary/substrate sensitivity.

Immunogen

An amino acid sequence from the C-terminus of human SLC12A6 (QKAKSMEGFQDLLNMRPDQSN) was used as the immunogen for this SLC12A6 antibody.

Storage

After reconstitution, the SLC12A6 antibody can be stored for up to one month at 4oC. For long-term, aliquot and store at -20oC. Avoid repeated freezing and thawing.

Cross
Bulk Quote Request Form
Name*:
Organization*:
Email*:
Phone Number*:
Catalog No.*:
Comments and Specifics(amount, formulation, etc.)*:
Validation code: Captchapackage Image


Can't read the image? click here to refresh.
    *required field

Your bulk quote request has been submitted successfully!

Please contact us if you have any questions.