• Tel: 858.663.9055
  • SeparatorEmail: info@nsjbio.com
  • Tel: 858.663.9055
  • Email: info@nsjbio.com
Home >> Antibodies >> SLC12A2 Antibody

SLC12A2 Antibody (R34763)

  Catalog No Formulation Size Price (USD)  
Image R34763-100UG 0.5 mg/ml in 1X TBS, pH7.3, with 0.5% BSA (US sourced) and 0.02% sodium azide 100 ug 449
Bulk quote request
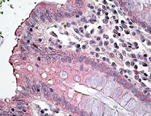
IHC testing of FFPE human colon with SLC12A2 antibody at 4ug/ml. HIER: steamed with pH6 citrate buffer, AP-staining.
Availability 1-3 business days
Species Reactivity Human
Predicted Reactivity Cow, Dog, Mouse, Rat
Format Antigen affinity purified
Clonality Polyclonal (goat origin)
Isotype Goat Ig
Purity Antigen affinity
Gene ID 6558
Applications Immunohistochemistry (FFPE) : 4-6ug/ml
ELISA (peptide) LOD : 1:64000
Limitations This SLC12A2 antibody is available for research use only.
Review this product on BioCompare and get a $20 Amazon gift card

Related Products

Description

Additional name(s) for this target protein: Solute carrier family 12 (sodium/potassium/chloride transporters), member 2

Application Notes

Optimal dilution of the SLC12A2 antibody should be determined by the researcher.

Immunogen

Amino acids NALQHSIRLSGVEDH were used as the immunogen for this SLC12A2 antibody.

Storage

Aliquot and store the SLC12A2 antibody at -20oC.

Cross
Bulk Quote Request Form
Name*:
Organization*:
Email*:
Phone Number*:
Catalog No.*:
Comments and Specifics(amount, formulation, etc.)*:
Validation code: Captchapackage Image


Can't read the image? click here to refresh.
    *required field

Your bulk quote request has been submitted successfully!

Please contact us if you have any questions.