• Tel: 858.663.9055
  • SeparatorEmail: info@nsjbio.com
  • Tel: 858.663.9055
  • Email: info@nsjbio.com
Home >> Antibodies >> SLC12A1 Antibody / NKCC2

SLC12A1 Antibody / NKCC2 (R32222)

  Catalog No Formulation Size Price (USD)  
Image R32222 0.5mg/ml if reconstituted with 0.2ml sterile DI water 100 ug 439
Bulk quote request
Immunofluorescent staining of FFPE rat kidney tissue with SLC12A1 antibody (green) and DAPI nuclear stain (blue). HIER: steam section in pH8 EDTA buffer for 20 min.
Immunofluorescent staining of FFPE mouse kidney tissue with SLC12A1 antibody (green) and DAPI nuclear stain (blue). HIER: steam section in pH8 EDTA buffer for 20 min.
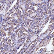
IHC testing of FFPE human renal cancer tissue with SLC12A1 antibody. HIER: Boil the paraffin sections in pH8 EDTA buffer for 20 minutes and allow to cool prior to staining.
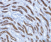
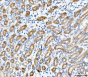
IHC testing of FFPE rat kidney tissue with SLC12A1 antibody. HIER: Boil the paraffin sections in pH8 EDTA buffer for 20 minutes and allow to cool prior to staining.
IHC testing of FFPE mouse kidney tissue with SLC12A1 antibody. HIER: Boil the paraffin sections in pH8 EDTA buffer for 20 minutes and allow to cool prior to staining.
Western blot testing of 1) monkey kidney, 2) rat kidney and 3) mouse kidney lysate with SLC12A1 antibody. Expected molecular weight: 121-160 kDa depending on glycosylation level. It can also be observed as an ~300 kDa complex with NKCC1.
Availability 1-3 business days
Species Reactivity Human, Mouse, Rat, Monkey
Format Antigen affinity purified
Clonality Polyclonal (rabbit origin)
Isotype Rabbit IgG
Purity Antigen affinity
Buffer Lyophilized from 1X PBS with 2% Trehalose
UniProt Q13621
Localization Membrane
Applications Western Blot : 0.5-1ug/ml
Immunohistochemistry (FFPE) : 2-5ug/ml
Immunofluorescence : 5ug/ml
Limitations This SLC12A1 antibody is available for research use only.
Review this product on BioCompare and get a $20 Amazon gift card

Related Products

Description

Solute carrier family 12 (sodium/potassium/chloride transporters), member 1, also called NKCC2 is specifically found in cells of the thick ascending limb of the loop of Henle in nephrons, the basic functional units of the kidney. This gene is mapped to 15q21.1. This gene encodes a kidney-specific sodium-potassium-chloride cotransporter that is expressed on the luminal membrane of renal epithelial cells of the thick ascending limb of Henle's loop and the macula densa. It plays a key role in concentrating urine and accounts for most of the NaCl resorption. It is sensitive to such diuretics as furosemide and bumetanide. Some Bartter-like syndromes result from defects in this gene. This gene plays a vital role in the regulation of ionic balance and cell volume.

Application Notes

Optimal dilution of the SLC12A1 antibody should be determined by the researcher.

Immunogen

Amino acids DEAQKRLRISFRPGNQECYDNFLQSGETAKTD of human SLC12A1 were used as the immunogen for the SLC12A1 antibody.

Storage

After reconstitution, the SLC12A1 antibody can be stored for up to one month at 4oC. For long-term, aliquot and store at -20oC. Avoid repeated freezing and thawing.

Cross
Bulk Quote Request Form
Name*:
Organization*:
Email*:
Phone Number*:
Catalog No.*:
Comments and Specifics(amount, formulation, etc.)*:
Validation code: Captchapackage Image


Can't read the image? click here to refresh.
    *required field

Your bulk quote request has been submitted successfully!

Please contact us if you have any questions.