• Tel: 858.663.9055
  • SeparatorEmail: info@nsjbio.com
  • Tel: 858.663.9055
  • Email: info@nsjbio.com
Home >> Antibodies >> SIRT2 Antibody

SIRT2 Antibody (R31579)

  Catalog No Formulation Size Price (USD)  
Image R31579 0.5mg/ml if reconstituted with 0.2ml sterile DI water 100 ug 439
Bulk quote request
Western blot testing of SIRT2 antibody and Lane 1: rat spleen; 2: HeLa; 3: A549
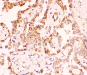
IHC-P: SIRT2 antibody testing of human lung cancer tissue
IHC-P testing of mouse brain tissue
IHC-P testing of rat brain tissue
Western blot testing of SIRT2 antibody and recombinant human protein (0.5ng)
Availability 1-3 business days
Species Reactivity Human, Mouse, Rat
Format Antigen affinity purified
Clonality Polyclonal (rabbit origin)
Isotype Rabbit IgG
Purity Antigen affinity
Buffer Lyophilized from 1X PBS with 2.5% BSA and 0.025% sodium azide
Gene ID 22933
Applications Western Blot : 0.5-1ug/ml
IHC (FFPE) : 0.5-1ug/ml
Limitations This SIRT2 antibody is available for research use only.
Review this product on BioCompare and get a $20 Amazon gift card

Related Products

Description

Sirtuin 2 is a predominantly cytoplasmic protein that colocalizes with microtubules. This gene encodes a member of the sirtuin family of proteins, homologs to the yeast Sir2 protein. Members of the sirtuin family are characterized by a sirtuin core domain and grouped into four classes. SIRT2 is mapped to 19q13.2. It is able to cause radioactivity to be transferred from (32P) NAD to bovine serum albumin (BSA). According to researches, it can act as a tubulin deacetylase. SIRT2 was found to deacetylate lys40 of alpha-tubulin both in vitro and in vivo. It is also a regulator of mitotic progression that acts downstream from CDC14B in a pathway regulating mitotic exit or subsequent cytokinesis. Additionally, SIRT2 is an important regulator of programmed necrosis.

Application Notes

The stated application concentrations are suggested starting points. Titration of the SIRT2 antibody may be required due to differences in protocols and secondary/substrate sensitivity.

Immunogen

Amino acids 165-187 (YTQNIDTLERIAGLEQEDLVEAH-human) were used as the immunogen for this SIRT2 antibody.

Storage

After reconstitution, the SIRT2 antibody can be stored for up to one month at 4oC. For long-term, aliquot and store at -20oC. Avoid repeated freezing and thawing.

Cross
Bulk Quote Request Form
Name*:
Organization*:
Email*:
Phone Number*:
Catalog No.*:
Comments and Specifics(amount, formulation, etc.)*:
Validation code: Captchapackage Image


Can't read the image? click here to refresh.
    *required field

Your bulk quote request has been submitted successfully!

Please contact us if you have any questions.