• Tel: 858.663.9055
  • SeparatorEmail: info@nsjbio.com
  • Tel: 858.663.9055
  • Email: info@nsjbio.com
Home >> Antibodies >> SIRT1 Antibody / Sirtuin 1

SIRT1 Antibody / Sirtuin 1 (RQ5549)

  Catalog No Formulation Size Price (USD)  
Image RQ5549 0.5mg/ml if reconstituted with 0.2ml sterile DI water 100 ug 439
Bulk quote request
Immunofluorescent staining of FFPE human HeLa cells with SIRT1 antibody (red) and Beta Tubulin mAb (green). HIER: boil tissue sections in pH6, 10mM citrate buffer, for 20 min and allow to cool before testing.
Western blot testing of human 1) SiHa, 2) A549 and 3) Caco-2 cell lysate with SIRT1 antibody. Predicted molecular weight ~80 kDa but is routinely observed at 110~120 kDa due to post-translational modification.
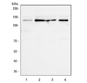
Western blot testing of human 1) HeLa, 2) 293T, 3) K562 and 4) MCF7 cell lysate with SIRT1 antibody. Predicted molecular weight ~80 kDa but is routinely observed at 110~120 kDa due to post-translational modification.
Availability 1-3 business days
Species Reactivity Human
Format Antigen affinity purified
Clonality Polyclonal (rabbit origin)
Isotype Rabbit IgG
Purity Affinity purified
Buffer Lyophilized from 1X PBS with 2% Trehalose
UniProt Q96EB6
Localization Nuclear, cytoplasmic
Applications Western Blot : 0.25-0.5ug/ml
Immunofluorescence : 5ug/ml
Direct ELISA : 0.1-0.5ug/ml
Limitations This SIRT1 antibody is available for research use only.
Review this product on BioCompare and get a $20 Amazon gift card

Related Products

  • Applications : ELISA, FACS, IF, WB
    Reactivity : Human
    Microvalidated
  • Applications : WB, ELISA
    Reactivity : Human
  • Applications : WB, IF
    Reactivity : Human
  • Applications : IHC, IF, WB, ELISA
    Reactivity : Human, Mouse
  • Applications : WB, ELISA
    Reactivity : Mouse
  • Applications : WB, ELISA
    Reactivity : Human
  • Applications : WB, ELISA (peptide)
    Reactivity : Human, Mouse, Rat
    Pred. Reactivity : Dog
  • Applications : WB, IHC, ELISA (peptide)
    Reactivity : Human
    Pred. Reactivity : Mouse

Description

Sirtuin 1, also known as SIR2L1 or SIRT1, is a protein that in humans is encoded by the SIRT1 gene. It is mapped to 10q21.3. Sirtuin 1 is a member of the sirtuin family of proteins, homologs of the Sir2 gene in S. cerevisiae. Members of the sirtuin family are characterized by a sirtuin core domain and grouped into four classes. Sirtuin 1 is downregulated in cells that have high insulin resistance and inducing its expression increases insulin sensitivity, suggesting the molecule is associated with improving insulin sensitivity. Furthermore, Sirtuin 1 was shown to de-acetylate and affect the activity of both members of the PGC1-alpha/ERR-alpha complex, which are essential metabolic regulatory transcription factors.

Application Notes

Optimal dilution of the SIRT1 antibody should be determined by the researcher.

Immunogen

A human recombinant protein (amino acids Y142-H533) was used as the immunogen for the SIRT1 antibody.

Storage

After reconstitution, the SIRT1 antibody can be stored for up to one month at 4oC. For long-term, aliquot and store at -20oC. Avoid repeated freezing and thawing.

Cross
Bulk Quote Request Form
Name*:
Organization*:
Email*:
Phone Number*:
Catalog No.*:
Comments and Specifics(amount, formulation, etc.)*:
Validation code: Captchapackage Image


Can't read the image? click here to refresh.
    *required field

Your bulk quote request has been submitted successfully!

Please contact us if you have any questions.